Support

Lorem ipsum dolor sit amet:

24h / 365days

We offer support for our customers

Mon - Fri 8:00am - 5:00pm (GMT +1)

Get in touch

Cybersteel Inc.
376-293 City Road, Suite 600
San Francisco, CA 94102

Have any questions?
+44 1234 567 890

Drop us a line
info@yourdomain.com

About us

Lorem ipsum dolor sit amet, consectetuer adipiscing elit.

Aenean commodo ligula eget dolor. Aenean massa. Cum sociis natoque penatibus et magnis dis parturient montes, nascetur ridiculus mus. Donec quam felis, ultricies nec.

ARTHROSE DES HÜFTGELENKES

Das Hüftgelenk belasten wir bei jedem Schritt. Es gibt verschiedene Ursachen, die zu einem Gelenkverschleiß führen:

  • Arthrose
    Zunehmender“ Verschleiß“ des Hüftgelenkes mit Verlust des Knorpels, knöchernen Randanbauten.
  • Rheumatoide Arthritis
    Durch die Überaktivität des Immunsystems verursachte Enzündung des Gelenkraumes, die den Knorpel und teilweise auch den darunterliegenden Knochen angreift mit der Folge einer Gelenkzerstörung und Deformiereung.
  • Osteonekrose
    Durchblutungsstörung des Kopfes, die zu einem Absterben von Teilen des Hüftkopfes führen mit der Folge eines Kollapses und Deformierierung. – Medikamente, posttraumatisch
  • Anlagebedingte Gelenkdeformität:
    Pertheserkrankung, Hüftdysplasie, Osteolyse capitis femoris
  • Brüche oder Folgezustände nach Brüchen:
    Schenkelhalsfraktur, Hüftpfannenbrüche (Acetabulumfraktur)

Typisch sind Schmerzen in der Leiste, Anlaufbeschwerden sowie eine Einschränkung der Beweglichkeit in der Hüfte. Durch ein Training der Beweglichkeit, Dehnung der Gelenkkapsel, Verwendung von Schuhen mit weicher Sohle kann oft in den Anfangsstadien der Erkrankung eine ausreichende Funktion erhalten werden.

An eine operative Behandlung sollten Sie denken, wenn sie zunehmend stärkere Beschwerden haben:

  • Anhaltende Schmerzen trotz Schmerzmedikation
  • Zunehmende Schmerzen beim Gehen mit Einschränkung der Gehstrecke
  • Ruheschmerzen, Einschränkung der Nachtruhe
  • Einschränkung des Treppensteigens, Aufstehen aus einem Sessel

„ICH KANN JETZT WIEDER ÜBER DEN PLATZ LAUFEN OHNE SCHMERZEN."

Bild Patient nach der OP auf dem Fußballplatz

"Meine Hüfte schmerzte und ich konnte nicht mehr gut laufen. Nach einer Vorstellung in der Sprechstunde am Klinikum Rosenhöhe habe ich mich gut informiert gefühlt. Die Operation und das Danach habe ich mir schwieriger vorgestellt.  Ich konnte gleich nach der Operation wieder aufstehen. Das ging wirklich gut. Nach der Reha bin ich jetzt wieder fit.“

HÜFT-TEP DES PATIENTEN

Linksseitiger Hueftgelenksverschleiß

Präoperative Planung der Hueft-TEP

Postoperatives Kontrollbild

FRISEURMEISTERIN MIT COXARTHROSE

„Als selbstständige Friseurmeisterin muss ich den ganzen Tag stehen. Das konnte ich zum Schluss nicht mehr gut. Mir tat immer die Hüfte weh und es strahlte bis in das Knie aus. Bei meiner ersten Vorstellung in der Sprechstunde an der Rosenhöhe haben wir noch ein konservatives Vorgehen besprochen. Im weiteren Verlauf nahmen die Beschwerden innerhalb des nächsten halben Jahres weiter zu. Die Operation verlief gut und ich konnte sehr schnell wieder aufstehen. Ich habe dann eine ambulante Reha gemacht, die Muskeln um das Hüftgelenk musste ich ja noch trainieren. Heute kann ich wieder gut meine Arbeit im FrisurenStudio "Haar Society" in Bielefeld machen und auch in meiner Freizeit schränkt mich die Hüfte nicht mehr ein.“

HÜFT-TEP DER PATIENTIN

Linksseitige Coxarthrose, nach Umstellungsosteotomie rechts

Planung Hüft-Endoprothese links

Nach Implantation einer Kurzschaftprothese auf der linken Seite. Die rechte Seite nach Umstellungsosteotomie vor Jahren

Nach Hüft-TEP links: Fahrradfahren ist wieder möglich

84-JÄHRIGER MIT DEM E-BIKE WIEDER MOBIL

Bild Patient vor der OP beim Fahrrad fahren

"Zuletzt konnte ich immer schlechter laufen und auch Radfahren. Die linke Hüfte tat mir richtig weh. Jetzt kann ich wieder mit meinem E Bike fahren und auch laufen. Das geht von Tag zu Tag besser als ich es erwartet habe."

HÜFT-TEP DES PATIENTEN

Linksseitige Coxarthrose

Präoperative Planung der Hüftprothese

Postoperatives Kontrollbild

4 Monate nach Implantation einer zementfreien Hüftgelenksprothese mit kurzem Schaft 2020

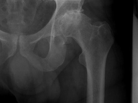
COXARTHROSE LINKS BEI EINEM 56-JÄHRIGEN MANN

"Vielen Dank Dr. Schildknecht und dem Team der Orthopädie auf der Rosenhöhe, dass sie mir nach gut 2-jährigen starken Hüftschmerzen Lebensqualität und meine Energie und Lachen durch die Operation an meiner linken Hüfte wiedergegeben haben. Durch die Hüft-OP kann ich wieder meinen Hobbys ohne Schmerzen in vollem Umfang nachgehen und das nach nur 6 Wochen."

Deutliche Coxarthrose links bei einem 56-jährigen Mann, begeisterter Radfahrer, versorgt mit einer Kurzschaftprothese im Herbst 2020.

HÜFT-TEP DES PATIENTEN

Deutliche Coxarthrose links

Coxarthrose links, Versorgung mit Kurzschaft-Prothese

Coxarthrose links, Versorgung mit Kurzschaft-Prothese

Nach Hüft-TEP links: Fahrradfahren ist wieder möglich

ARTHROSE DES LINKEN HÜFTGELENKES EINER 52 JÄHRIGEN FRAU

Bild Patientin nach der OP beim Nordic Walking

„Ich wurde von Ihnen und Ihrem Team am 30.12.2021 an der linken Hüfte operiert. Nach erfolgreicher OP und Reha in Bad Rothenfelde ist es nun so, dass ich seit letzter Woche stundenweise wieder im Job bin. Sehr schön ist, dass wir endlich wieder unserem Hobby, dem Wandern, nachgehen können. Nach langsamen Herantasten konnten wir am Ostermontag erstmalig wieder eine Tour von ca. 9 Kilometern angehen. Das hat alles sehr gut geklappt. Leichte Muskelschmerzen sind dabei noch vorhanden. Ansonsten bin ich weitestgehend beschwerdefrei. Das ist super und erhöht die Lebensqualität enorm.“

Arthrose des linken Hüftgelenkes einer 52 jährigen Frisörin mit deutlicher Funktionseinschränkung und einer Gehstrecke unter 500m. Operative Behandlung mit einer Kurzschaftprothese mit gutem Ergebnis.

HÜFT-TEP DER PATIENTIN

Deutliche Coxarthrose links

Coxarthrose links, Versorgung mit Kurzschaft-Prothese

Nach Hüft-TEP links: Wandern ist wieder möglich

Copyright 2026. All Rights Reserved.
You are using an outdated browser. The website may not be displayed correctly. Close