Support

Lorem ipsum dolor sit amet:

24h / 365days

We offer support for our customers

Mon - Fri 8:00am - 5:00pm (GMT +1)

Get in touch

Cybersteel Inc.
376-293 City Road, Suite 600
San Francisco, CA 94102

Have any questions?
+44 1234 567 890

Drop us a line
info@yourdomain.com

About us

Lorem ipsum dolor sit amet, consectetuer adipiscing elit.

Aenean commodo ligula eget dolor. Aenean massa. Cum sociis natoque penatibus et magnis dis parturient montes, nascetur ridiculus mus. Donec quam felis, ultricies nec.

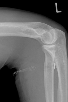
DISTALER ABRISS DER BIZEPSSEHNE

Der Bizepsmuskel zieht durch die Beugeseite des Ellenbogengelenkes und setzt auf einem Knochenvorsprung des Speichenknochens (Tuberositas radii) gelenknah am Unterarm an. Bei einem Abriss dieser Sehne fehlt die Kraft für die Umwendbewegung und Beugung des Ellenbogengelenkes.

Ziel der operativen Behandlung ist die Wiederanheftung des Muskels an der Tuberositas radii. Durch die Lage des Knochenvorsprunges tief im Ellenbogen und den sehr nahen Verlauf des Speichennervs (n. radialis) erfordert die operative Versorgung ein vorsichtiges Vorgehen.

Das Einheilen des Sehnensatzes muss nachfolgend geschützt werden, so dass ein Belastungsaufbau und die volle Streckung des Gelenkes erst schrittweise anschließend erarbeitet werden kann.

Bild Bizepssehnenrefixation

Bizepssehnenrefixation Röntgenbild

Copyright 2026. All Rights Reserved.
You are using an outdated browser. The website may not be displayed correctly. Close