Support

Lorem ipsum dolor sit amet:

24h / 365days

We offer support for our customers

Mon - Fri 8:00am - 5:00pm (GMT +1)

Get in touch

Cybersteel Inc.
376-293 City Road, Suite 600
San Francisco, CA 94102

Have any questions?
+44 1234 567 890

Drop us a line
info@yourdomain.com

About us

Lorem ipsum dolor sit amet, consectetuer adipiscing elit.

Aenean commodo ligula eget dolor. Aenean massa. Cum sociis natoque penatibus et magnis dis parturient montes, nascetur ridiculus mus. Donec quam felis, ultricies nec.

WILLKOMMEN IM INSTITUT FÜR DIAGNOSTISCHE UND INTERVENTIONELLE RADIOLOGIE!

Portraitfoto von Prof Dr med Hans Björn Gehl

Das Institut wird gerade umfassend neu ausgestattet mit modernster Technologie in allen Bereichen der Bildgebung. Mitte des Jahres 2023 wird es dadurch eins der modernsten Institute in Ostwestfalen sein. Schwerpunkte sind:

BILDGEBUNG UND INTERVENTION BEI TUMOREN

Bei allen bösartigen Tumoren ist die genaue Bestimmung der Ausdehnung des Tumors und seiner Metastasen entscheidend für das Behandlungskonzept. Hier bietet das Institut für Diagnostische Radiologie insgesamt an vier Computertomographen und zwei Kernspintomographen (1,5 und 3 Tesla) neben sämtlichen konventionellen Röntgenuntersuchungen das komplette Spektrum der Diagnostischen Radiologie. Darüber hinaus ist das Institut zertifiziert als Zentrum für minimal-invasive Onkologie nach DeGIR.

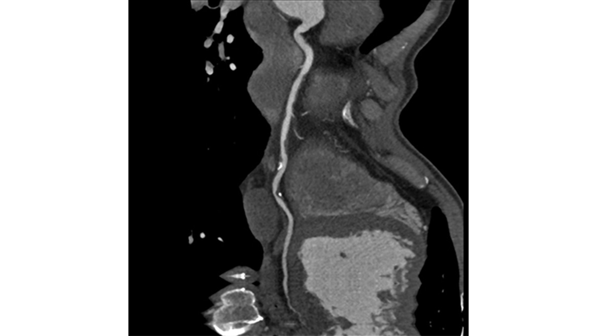
BILDGEBUNG VON HERZEN UND GEFÄSSEN

Bild von einem Computertomographen
Herz und Gefäßerkrankungen werden bei der Computertomographie sichtbar

Herz- und Gefäßerkrankungen sind in Deutschland extrem häufig und sind zunehmende Domäne der Schnittbildgebung in CT und MRT. In der Computertomographie verfügt das Institut über ein Canon Aquilion ONE Prism als Volumenscanner, der mit einer Umdrehung einen kompletten Herz-Scan fahren kann. Gegenüber konventionellen CT-Scannern ist eine Coronar-CT-Untersuchung bis zu einem Kalk-Score (Agatston-Score) von 2960 möglich. Mit dem PIQE-Algorithmus ist eine gestochen scharfe Abbildung des Gefäßlumens möglich. Darüber hinaus ist eine dynamische Myokardperfusion ähnlich zur MRT jetzt mithilfe der Spektralanalyse auch in der Computertomographie an diesem Gerät möglich geworden. In der Kernspintomographie steht ein MRT 1.5 Tesla Achieva dStream 1.5T Nova Dual der Firma Philips zur Verfügung. Hier ist die kardiologische Untersuchung in hoher örtlicher Auflösung (cardiac-zoom) und hoher zeitlicher Auflösung (k-t SENSE) möglich. Untersuchungen in freier Atmung sind ebenfalls möglich geworden. T1 und T2 Mapping gehören selbstverständlich zum Untersuchungsumfang mit dazu.

INTERVENTIONELLE RADIOLOGIE

Bild des Behandlungraums

Bildgestützte minimalinvasive Interventionen können heutzutage viele operative oder medikamentöse Therapie ersetzen oder ergänzen. In unserem Institut werden moderne interventionelle Verfahren wie z.B. Dilatationen von Gefäßverengungen oder Embolisationen von Tumoren und Blutungen angeboten. Auch die Embolisation von ganzen Leberlappen zur Induktion einer Hypertrophie präoperativ gehört dazu. Die ultraschallgesteuerten Eingriffe umfassen Punktionen zur Gewebsgewinnung und Mikrowellen-gestützte Ablation von Tumoren. Versorgung von Dialyse-Shunts ist, wie auch die Portimplantation, Standardrepertoire. Wir sind als  Zentrum der Module A – D nach DeGIR zertifiziert.

MAMMADIAGNOSTIK UND INTERVENTION

Bild Assistenzärztin an dem Mammographie Gerät

Brustkrebs ist die häufigste Tumorerkrankung bei Frauen. Im Rahmen eines zertifizierten interdisziplinären Brustzentrums des Klinikums Bielefeld (>350 primäre Mammakarzinome/Jahr) bieten wir alle bildgebenden und minimalinvasiven Verfahren zur Abklärung bei Verdacht auf einen Tumor an. Besonders hervorzuheben ist die enge Kooperation von Expert*innen aus unterschiedlichen Fachbereichen in unserem Brustzentrum. Das verwendete Mammographie-Gerät ist digital (Mammografiesystem Hologic 3D mit Tomosynthese, Clarity-HD-Technologie und bei Biosien werden die Präparate direkt geröntgt  (Brevera Biopsie-Einheit)). Eine Zertifizierung nach DeGIR Modul C (Mammabiopsien und –markierungen) liegt vor.

MUSKULO-SKELETTALE-BILDGEBUNG

Bild von einem kleinen Mädchen im Sitzen beim Röntgen

Während Knochenbrüche im konventionellen Röntgen zum normalen Tagesgeschäft gehören, liegen häufig die Ursachen von Rücken- oder Gelenkbeschwerden im Bereich des Knorpels oder der Bänder bzw. der Bandscheiben, die am besten kernspintomographisch eingesehen werden können. (Hier bieten wir ein MRT 1.5 Tesla Achieva dStream 1.5T Nova Dual und ein 3 Tesla Ingenia). Für die einzelnen Gelenke liegen Oberflächenspulen, für die Wirbelsäule, Handgelenk, Schulter, Knie vor sowie dedizierte Spulen zur Herz- und Schädel-Bildgebung vor.

Wir als Team des Instituts für Diagnostische und Interventionelle Radiologie freuen uns, Ihnen in unserer Klinik eine optimale Versorgung auf dem modernsten Stand der Technik bieten zu können.

Ihr

Prof. Dr. Hans-Björn Gehl
Chefarzt des Instituts

RADIOSENDUNG "PULSSCHLAG" ZUM THEMA RADIOLOGIE

Bild medizinische Technologin für Radiologie mit Kollegen am Röntgengerät

Am Institut für Diagnostische und Interventionelle Radiologie am Klinikum Bielefeld arbeiten viele verschiedene Berufsgruppen interdisziplinär miteinander. Im Gespräch mit Bettina Wittemeier von Radio Bielefeld berichten Chefarzt Prof. Dr. med. Hans-Björn Gehl, die leitende medizinische Technologin für Radiologie (MTR) Anja von Eßen sowie Medizinphysiker Ahmed Gazarin in der Sendung "Pulsschlag" vom 04.03.2023 über die vielseitige Arbeit in ihrem Institut.

Die Folge kann hier nachgehört werden.

Copyright 2026. All Rights Reserved.
You are using an outdated browser. The website may not be displayed correctly. Close