Support

Lorem ipsum dolor sit amet:

24h / 365days

We offer support for our customers

Mon - Fri 8:00am - 5:00pm (GMT +1)

Get in touch

Cybersteel Inc.
376-293 City Road, Suite 600
San Francisco, CA 94102

Have any questions?
+44 1234 567 890

Drop us a line
info@yourdomain.com

About us

Lorem ipsum dolor sit amet, consectetuer adipiscing elit.

Aenean commodo ligula eget dolor. Aenean massa. Cum sociis natoque penatibus et magnis dis parturient montes, nascetur ridiculus mus. Donec quam felis, ultricies nec.

ELLENBOGENINSTABILITÄT

AKUT - UNFALLBEDINGT

Bei einer Verrenkung (Luxation) des Ellenbogengelenkes kann es zu schweren Verletzungen des Knochens und der Weichteile kommen. Typisch ist der Sturz auf den leicht gebeugten außengedrehten Arm der zu einer Verrenkung (Luxation) des Ellenbogengelenks führt. Dabei springt in den meisten Fällen das Speichenköpfchen über die Oberarmrolle hinweg nach hinten heraus und kann sogar an der Oberarmrolle zerbrechen (Typ Mason IV).

Je nach Ausmaß der Verrenkung reichen die Kapsel- und Bandeinrisse um das Gelenk bis zur Ellenseite herum und führen so zu einer Instabilität des Ellenbogengelenks. Die unkomplizierte Luxation, die schnell einer Einrenkung (Reposition) zugeführt wird, heilt in den meisten Fällen auch ohne Operation aus.

Zeigt die Stabilitätsprüfung des Gelenkes nach Reposition eine Instabilität oder liegen Frakturen vor, wird eine operative Rekonstruktion erforderlich.
Die Operation dieser komplizierten Verletzungen zielt darauf ab die verletzten Bandansätze (ulnares und radiales Seitenband, beugeseitige Kapsel) wie auch die knöchernen Verletzungen (Speichenköpfchenbruch – oft zertrümmert, proc. Corornoideus) stabil wieder her zu stellen. Ziel ist es das Ellenbogengelenk frühzeitig stabil zu bewegen, um eine Einsteifung zu verhindern.

Bild Ellenbogenluxation Patient nach der OP bei der Gartenarbeit

„Ich bin damals beim Holzstapeln im Wald gestürzt, als ich in den Brombeersträuchern hängenblieb. Den Arm konnte ich nicht mehr bewegen. In der Notfallambulanz ist mein herausgesprungenes Ellenbogengelenk dann sofort eingerichtet worden und drei Tage später wurde ich dann zur Stabilisation des Ellenbogengelenks operiert. Mit den Bewegungsübungen wurde es über die nachfolgenden Wochen immer besser. Ich kann jetzt alles wieder machen und das Gelenk ist stabil.“

Rechtshändiger Fotograf mit hoch instabiler Ellenbogenluxationsverletzung links. Operative Stabilisation mit Rekonstruktion der Bandstrukturen des Ellenbogengelenkes außen und innenseitig unter Einsatz einer Augmentationstechnik (Internal Bracing).

Ventrale Luxation Ellenbogen

Reponiertes Gelenk nach operativer Stabilisation

Ellenbogenluxationsverletzung - Ergebnis

Ellenbogenluxationsverletzung - Ergebnis

Bild Patient verschränkt den Arm hinter dem Kopf

„Mir ist das Ellenbogengelenk rausgesprungen, als ich mit dem Fahrrad an einer Bordsteinkante hängenblieb und stürzte. Erst bin ich wieder eingerenkt worden und dann bin ich operiert worden. Die Bänder und Muskeln, die das Gelenk halten, waren alle verletzt. Jetzt kann ich wieder ganz gut bewegen.“

63-jähriger Mann mit einer vollständiger Ellenbogenluxationsverletzung und ausgeprägter Instabilität nach Einrichtung des Gelenkes. Im Rahmen der Operation wurde das Ellenbogengelenk auf der Außenseite zuerst mit einer Bandstabilisation und Augmentation (Fiber Tape) stabilisiert und anschließend auch ellenseitig eine Bandstabilisation durchgeführt. Gutes Ergebnis nach 8 Wochen.

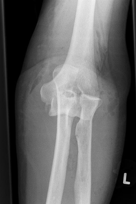
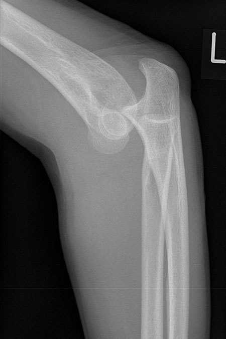
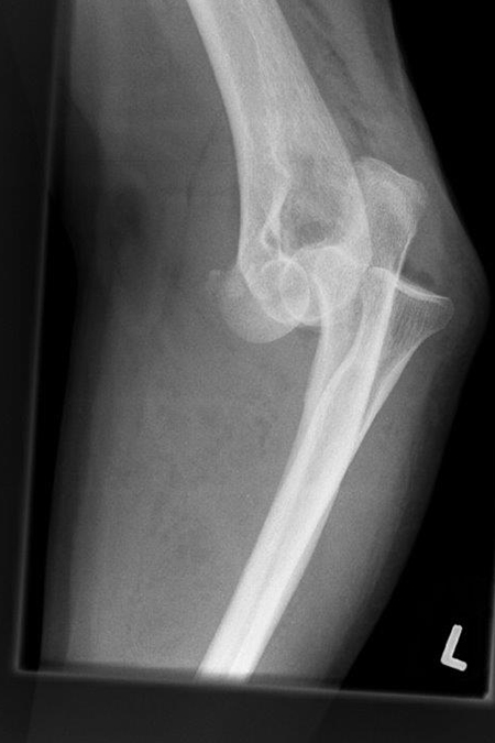
Ellenbogengelenk herausgesprungen frontal

Ellenbogengelenk herausgesprungen seitlich

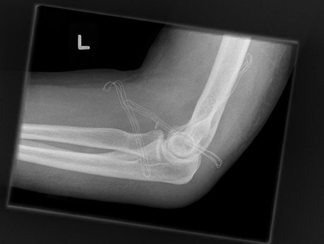
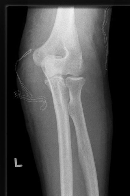
Ellenbogengelenk zentriert nach Operation frontal

Ellenbogengelenk zentriert nach Operation seitlich

CHRONISCHE INSTABILITÄT – ÜBERLASTUNG

Auch bei zunächst erfolgreicher konservativer Behandlung können sich Beschwerden als Folge einer mangelhaften Heilung der Bandstrukturen entwickeln. Diese können sich darin äußern, dass der Ellenbogen bei bestimmten Bewegungen sich unsicher anfühlt oder sogar verrenkt. Das Ellenbogengelenk wird im Alltag überwiegend einer Varusbelastung ausgesetzt. Somit sind die außenseitigen Bandstrukturen besonders im Alltag belastet und treten dementsprechend auch außenseitige Beschwerden auf. Die Abgrenzung zur Epikondylitis kann manchmal problematisch sein.

Die Diagnostik umfasst eine detaillierte klinische Untersuchung sowie statische und dynamische radiologische Untersuchungen einschließlich einer Kernspintomographie.

Bei chronischen Instabilitäten kann die Stabilität durch eine Bandplastik. ähnlich der Ersatzplastik des vorderen Kreuzbandes am Kniegelenk wiederhergestellt werden.  Das Transplantat wird analog des ursprünglichen Bandverlaufes eingezogen und an den Enden in Knochentunneln oder mit Hilfe von Nahtankern befestigt.
Vorher wird probeweise mit vorgelegten Fäden geprüft, ob die Knochentunnel an der richtigen Stelle sitzen.

In der Nachbehandlung der Ellenbogenverrenkungen verwenden wir Ellenbogengelenkorthesen, die die Möglichkeit bieten das Bewegungsausmaß ein zu grenzen und eine geschützte Bewegung des Ellenbogens ermöglichen. Über einen Zeitraum von zwei Wochen sollten Medikamente (Antiphlogistika) zur Vermeidung von Verkalkungsreaktionen um das Gelenk herum eingenommen werden. Die Belastung des Arms (Gewicht > 3kg) ist in den meisten Fällen genauso wie das Abstützen nicht vor Ablauf von sechs Wochen erlaubt.

Ellenbogenluxation

Ellenbogenluxation nach Versorgung

Ellenbogenluxation nach Versorgung

Ellenbogengelenksorthese

Copyright 2026. All Rights Reserved.
You are using an outdated browser. The website may not be displayed correctly. Close