Support

Lorem ipsum dolor sit amet:

24h / 365days

We offer support for our customers

Mon - Fri 8:00am - 5:00pm (GMT +1)

Get in touch

Cybersteel Inc.
376-293 City Road, Suite 600
San Francisco, CA 94102

Have any questions?
+44 1234 567 890

Drop us a line
info@yourdomain.com

About us

Lorem ipsum dolor sit amet, consectetuer adipiscing elit.

Aenean commodo ligula eget dolor. Aenean massa. Cum sociis natoque penatibus et magnis dis parturient montes, nascetur ridiculus mus. Donec quam felis, ultricies nec.

SCHULTERREVISIONSCHIRURGIE

Das orthopädische Team am Klinikum Bielefeld Rosenhöhe beschäftigt sich auch mit komplexeren Fällen der Revisionschirurgie an der Schulter. Um solche Probleme anzugehen, benötigen wir möglichst alle Vorberichte und Röntgenbilder. Im Rahmen eines ersten Gespräches und einer Untersuchung klären wir die Möglichkeiten einer Behandlung ab. Oft sind hierzu weitere diagnostische Schritte wie Blutuntersuchungen oder Schichtbilduntersuchungen notwendig, die wir dann entsprechend einleiten. Die einzelnen Informationen werden dann zusammengetragen und eine Behandlungsplan vorgeschlagen.

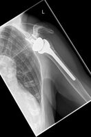
Bild von Patientin 4 Monate nach dem Eingriff

„Ich kann den Arm jetzt wieder einsetzen und meine Eigenständigkeit ist wieder zurück. Ich konnte mit dem Arm nach der ersten Operation nicht zurechtkommen. Die Schmerzen waren bald schlimmer als die Einschränkung. Da bin ich dann da nicht wieder hingegangen. Dr. Schildknecht und sein Team haben mir dann ein künstliches Gelenk eingesetzt.“

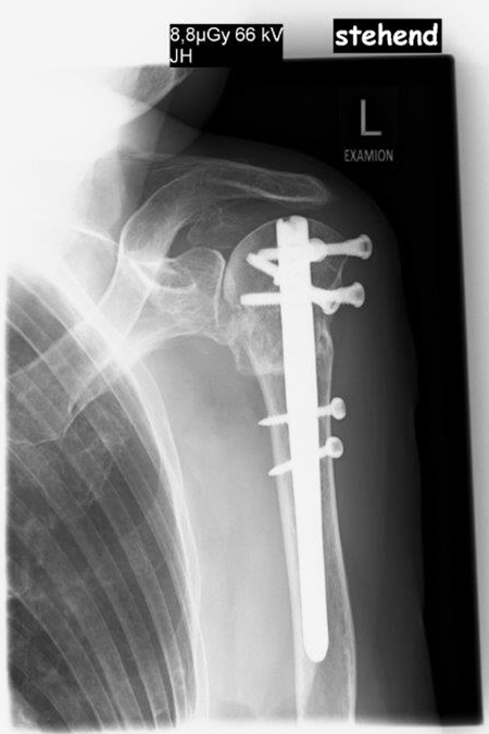
Bei der ersten Vorstellung klagte die 79 jährige Patientin über eine deutliche schmerzhafte linke Schulter und konnte diese kaum bewegen. Die Röntgenbilder zeigten einen fehlverheilten Bruch des Oberarmkopfes mit verschobenen Schrauben nach auswärtiger Nagelosteosynthese. Die operative Behandlung erfolgte mit einem inversen künstlichen Schultergelenk mit einem verlängerten zementfreien Schaft. Die erhebliche Vernarbung stellt eine besondere Herausforderung sowohl innerhalb der Operation als auch in der nachfolgenden Physiotherapie dar.

Bild von Patientin nach dem Eingriff

„Ich war gestürzt beim Fahrradfahren und der Bruch war mit einer Platte und Schrauben versorgt worden. Zunächst hatte ich kaum Probleme aber mit der Zeit bekam ich innerhalb des ersten 6 Monate Schmerzen und die Beweglichkeit wurde immer schlechter. Ich konnte meinen Arm fast gar nicht mehr anheben. Mein Hausarzt hat mir dann die Orthopädie an der Rosenhöhe empfohlen. Der Oberarmknochen war nicht mehr gut durchblutet und das Schultergelenk musste ersetzt werden. Jetzt komme ich im Alltag wieder ganz gut zurecht und übe noch fleißig. Die Schmerzen sind nicht mehr da.“
79 Jährige Patientin mit Oberarmkopffraktur und Plattenosteosynthese auswärtig versorgt stellt sich hier mit einem völligen Schultergelenksfunktionsverlust und Zusammenbruch des Oberarmknochens sowie Verschiebung bei liegender winkelstabiler Platte vor.

Es wurde die Platte entfernt und das Gelenk mit einer zementfreien Inversen Schultergelenksprothese nach Lösung der Verklebungen und Neufixierung der Sehnen wieder aufgebaut. 3,5 Monate nach operativer Versorgung sind die Sehnenansätze gut eingeheilt und eine ansprechende nahezu schmerzfreie Funktion erreicht.

Copyright 2026. All Rights Reserved.
You are using an outdated browser. The website may not be displayed correctly. Close