Support

Lorem ipsum dolor sit amet:

24h / 365days

We offer support for our customers

Mon - Fri 8:00am - 5:00pm (GMT +1)

Get in touch

Cybersteel Inc.
376-293 City Road, Suite 600
San Francisco, CA 94102

Have any questions?
+44 1234 567 890

Drop us a line
info@yourdomain.com

About us

Lorem ipsum dolor sit amet, consectetuer adipiscing elit.

Aenean commodo ligula eget dolor. Aenean massa. Cum sociis natoque penatibus et magnis dis parturient montes, nascetur ridiculus mus. Donec quam felis, ultricies nec.

WIRBELSÄULE

Wirbelsäulenerkrankungen gehören im orthopädischen Fachgebiet mit zu den häufigsten Erkrankungen. Ein großer Teil der verschleißbedingten Wirbelsäulenerkrankungen kann konservativ behandelt werden. Eine stationäre konservative Behandlung kann bei erfolgloser ambulanter Behandlung eine Option sein. In der Universitätsklinik für Orthopädie werden Infiltrationstechniken (Spritzenbehandlung) bei Bandscheibenvorfällen, Spinalkanalstenosen, Facettengelenkarthrosen und bei Blockaden des Kreuzdarmbeingelenkes angewendet.

Eine Operation ist allerdings zu empfehlen, wenn Lähmungserscheinungen z.B. durch einen Bandscheibenvorfall auftreten. Bandscheibenoperationen sowie Operationen bei degenerativen Verengungen des Spinalkanales und bei Instabilitäten werden zudem bei erfolgloser konservativer Therapie durchgeführt. Das Klinikum Bielefeld verfügt über einen großen Bereich mit Physiotherapie und Krankengymnastik, eine Abteilung für physikalische Therapie und ein Therapieschwimmbecken. Hierdurch wird die konservative Behandlung wesentlich ergänzt. Maßnahmen aus dem Bereich der physikalischen Therapie und der Krankengymnastik sind für Patienten mit Wirbelsäulenbeschwerden in der Regel sehr hilfreich. Es gilt der Grundsatz: Nur dann Operationen an der Wirbelsäule durchführen, wenn nicht operative Behandlungen erfolglos sind oder keine Aussicht auf Erfolg haben.

SPRITZENTHERAPIE

Beispiel einer Injektionsbehandlung bei einem Bandscheibenvorfall

Beispiel einer Injektionsbehandlung bei einem Bandscheibenvorfall.
Wie das Modell links zeigt, wird das Medikament in den Raum um den Spinalkanal injiziert (2. Bild), wo der Bandscheibenvorfall Beschwerden durch Druck auf die Nervenwurzel verursacht. Die Verteilung des Medikamentes wird mit Kontrastmittel durch Röntgen überprüft (rechte Bilder). (Bilder: Orthopädie)

Unter Osteoporose versteht man eine Abnahme der Knochenmasse und eine Verschlechterung der Knochenstruktur. Hierdurch verliert der Knochen seine Festigkeit und kann einbrechen. Die Osteoporose ist eine Volkskrankheit und wird durch verschiedene Faktoren wie z.B. Alter, Geschlecht, Ernährung, Bewegung, Hormonhaushalt, Alkohol- und Nikotinkonsum beeinflusst. In Deutschland sind ca. 7 Millionen betroffen. Jede dritte Frau erleidet einen Knochenbruch aufgrund einer Osteoporose.

Die Therapie der Osteoporose ist in erster Linie konservativ. Hier arbeitet die Orthopädie eng mit der Klinik für Endokrinologie zusammen, wo neben der Knochendichtemessung auch weitere Untersuchungen zur Ursache der Osteoporose erfolgen und eine entsprechende medikamentöse Therapie eingeleitet werden kann.

Häufig ist bei der Osteoporose die Wirbelsäule betroffen. Kommt es durch die Osteoporose zu einem plötzlichen Einbrechen (Sintern) eines Wirbelkörpers, ist dies häufig sehr schmerzhaft, langsam entstehende Brüche können auch schmerzfrei sein.

Das Sintern der Wirbelkörper führt zu einer verstärkten Krümmung der Wirbelsäule nach vorne und Abnahme der Körpergröße. Auch die Therapie eines Wirbelkörperbruches kann zunächst konservativ erfolgen. (Schmerztherapie, physikalische Therapie, Krankengymnastik, Versorgung mit Mieder oder Korsett). Bei anhaltenden Beschwerden kann eine Aufrichtung und Stabilisierung des Wirbelkörpers mit einer Kyphoplastie durchgeführt werden.

Es handelt sich bei der Kyphoplastie um eine minimal-invasive Operation zur Behandlung schmerzhafter osteoporotischer (oder osteolytischer) Kompressionsfrakturen der Brust- und Lendenwirbelsäule. Dazu wird eine schmale Arbeitskanüle unter Röntgenkontrolle in den gebrochenen Wirbelkörper eingebracht und dieser durch Aufdehnen eines Ballonkatheters wieder aufgerichtet. Der entstandene Hohlraum wird unter geringem Druck mit zähem Knochenzement gefüllt, der sogleich aushärtet. Der so behandelte Wirbelkörper ist belastungsstabil, der Patient ist deutlich schmerzgemindert mobilisierbar.

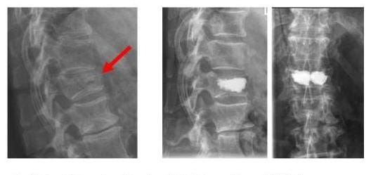
KYPHOPLASTIE

Röntgenbild links zeigt einen Wirbelkörpereinbruch rechts der Wirbelkörper wurde mit Zement aufgefüllt und so stabilisiert

Die linke Bild zeigt einen Wirbelkörpereinbruch (Pfeil). Der Wirbelkörper wurde mit Zement aufgefüllt und so stabilisiert (rechte Bilder). (Bilder: Orthopädie)

Die Behandlung von Tumoren an der Wirbelsäule ist ein besonderer Schwerpunkt der Klinik. Alle dafür benötigten bildgebenden Verfahren, auch innerhalb des OPs, stehen zur Verfügung. Es besteht eine enge Kooperation mit den Kliniken für Onkologie und Strahlentherapie, da Spezialisten aus den verschiedenen Fachbereichen notwendig sind, um Tumorerkrankungen adäquat behandeln zu können. In der Tumorkonferenz wird für jeden Patienten ein Behandlungsplan aufgestellt, der den Beschwerden, dem Stadium der Erkrankung und der Prognose gerecht wird. Weitere Information finden Sie auch auf unserer Homepage im Kapitel „Tumororthopädie“.

Neben der Entfernung von Tumoren ist auch die Stabilisierung der Wirbelsäule entscheidend, damit eine angemessene Mobilität wieder erreicht werden kann. Einige Tumoren können nicht oder nur teilweise entfernt werden und eine weitere Behandlung wie z.B. eine Strahlentherapie ist notwendig.

STABILISIERUNGSOPERATION AN DER WIRBELSÄULE

Röntgenbild ein Wirbelkörper wurde mit einem Doppelstabsystem überbrückt

Ein Wirbelkörper war auf Grund einer Tumorerkrankung nicht mehr belastbar und wurde mit einem Doppelstabsystem überbrückt. (Bilder: Orthopädie)

Infektionen der Bandscheibe und Wirbelkörper (Spondylodiszitis) können ebenfalls Rückenschmerzen verursachen (siehe auch „septische Orthopädie“). Zudem finden sich bei den Patienten häufig Zeichen einer Infektion, wie z.B. Fieber oder Blutveränderungen. Es gelten hier die gleichen Prinzipien wie bei anderen Infektionen (siehe auch „septische Orthopädie“) Neben den gängigen Keimen kann auch eine Tuberkulose zu einer Spondylodiszitis führen.

Die Bestimmung des Erregers kann direkt durch eine Punktion erfolgen, die in der Klinik für Radiologie unter CT-Kontrolle durchgeführt werden kann. Neben der Behandlung mit Antibiotika muss in einigen Fällen auch die infizierte Bandscheibe und ggf. der angrenzende Knochen der Wirbelkörper entfernt werden. In der gleichen OP wird dann eine Stabilisierung der Wirbelsäule mit Implantaten vorgenommen.

OPERATION BEI SPONDYLODISZITIS

Das Röntgenbild zeigt die ausgedehnte Infektion der Bandscheibe und angrenzenden Knochen das infizierte Gewebe wurde entfernt und die Wirbelsäule mit einem Doppelstabsystem und einem Cage stabilisiert

Das MRT (links) zeigt die ausgedehnte Infektion der Bandscheibe und angrenzenden Knochen (roter Pfeil). Das infizierte Gewebe wurde entfernt und die Wirbelsäule mit einem Doppelstabsystem und einem Cage stabilisiert (rechtes Bild). (Bilder: Orthopädie)

Copyright 2026. All Rights Reserved.
You are using an outdated browser. The website may not be displayed correctly. Close