Support

Lorem ipsum dolor sit amet:

24h / 365days

We offer support for our customers

Mon - Fri 8:00am - 5:00pm (GMT +1)

Get in touch

Cybersteel Inc.
376-293 City Road, Suite 600
San Francisco, CA 94102

Have any questions?
+44 1234 567 890

Drop us a line
info@yourdomain.com

About us

Lorem ipsum dolor sit amet, consectetuer adipiscing elit.

Aenean commodo ligula eget dolor. Aenean massa. Cum sociis natoque penatibus et magnis dis parturient montes, nascetur ridiculus mus. Donec quam felis, ultricies nec.

PERIPROTHETISCHE FRAKTUR

Brüche, die rund um bereits eingebrachte künstliche Gelenke entstehen, werden als Periprothetische Frakturen bezeichnet. Sie sind durch die Lagebeziehung zu dem jeweiligen künstlichen Implantat gekennzeichnet und können nach dem Unified Classification System (UCS) eingeteilt werden.

Bei einer immer älter werdenden Bevölkerung und der steigenden Anzahl von künstlichen Gelenken ist eine zunehmende Anzahl solcher Brüche zu beobachten. Ungefähr 3/4 der periprothetischen Frakturen entstehen durch Niedrigenergie- und Bagatelltraumata in Verbindung mit lokalen Risikofaktoren, wie Implantatlockerung, oder systemischen Risikofaktoren, z.B. Osteoporose.

Prävention kann insbesondere bei älteren Menschen durch eine Sturzprophylaxe betrieben werden. Der multimodale Ansatz (= vielschichtig) versucht, die patientenseitigen Risiken, wie schlechtes Sehen oder ein schlecht eingestellter Diabetes mellitus sowie Umgebungsaspekte (Stolperkanten in der Wohnung, etc.) neben einem entsprechenden Gleichgewichtstraining zu optimieren.

Unterschieden werden die unterschiedlichen Verletzungstypen insbesondere im Hinblick auf die Stabilität der einliegenden Gelenkkomponenten. Bei Brüchen mit noch stabilen Gelenkkomponenten ist eine reine Knochenbruchversorgung (Osteosynthese) unter Berücksichtigung der Verankerungsmöglichkeiten im Knochen möglich.

Bei Ausbruch und damit Destabilisierung der Gelenkkomponenten muss ein Wechsel der Gelenkkomponenten und die gleichzeitige Stabilisation des Bruches durchgeführt werden.

Ziel der chirurgischen Therapie ist die zeitnahe Operation und die sofortige Vollbelastung. Hierfür stehen verschiedene Implantate bzw. Revisionsprothesen zur Verfügung. Die Kenntnis des einliegenden Implantates (Prothesenpass) ermöglicht ein angepasstes Vorgehen.

Die Nachbehandlung erfolgt häufig in Zusammenarbeit mit der Getriatrischen Klinik im Hause.

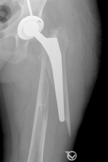
Ausgebrochener Prothesenschaft, der Knochen ist am unteren Ende nach außen abgespreizt (Vancouver B2).

Neu eingesetzter längerer modularer Hüftschaft mit anatomischer Fixierung des Knochenbruches durch Drähte.

Periprothetische Fraktur - Hüftschaft stabil (Vancouver B1) - liegende Knie-TEP

Knochenbruchbehandlung mit Spezialplatte und Drahtcerclagen um den stabilen Hüftschaft herum

Lange Platte zur Neutralisation der Kräfte

Copyright 2026. All Rights Reserved.
You are using an outdated browser. The website may not be displayed correctly. Close