Support

Lorem ipsum dolor sit amet:

24h / 365days

We offer support for our customers

Mon - Fri 8:00am - 5:00pm (GMT +1)

Get in touch

Cybersteel Inc.
376-293 City Road, Suite 600
San Francisco, CA 94102

Have any questions?
+44 1234 567 890

Drop us a line
info@yourdomain.com

About us

Lorem ipsum dolor sit amet, consectetuer adipiscing elit.

Aenean commodo ligula eget dolor. Aenean massa. Cum sociis natoque penatibus et magnis dis parturient montes, nascetur ridiculus mus. Donec quam felis, ultricies nec.

BRÜCHE UM DAS KNIEGELENK

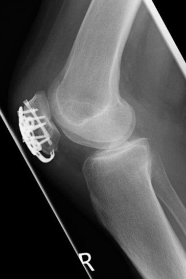
Bild Starplatte Ergebnis Patientin zeigt ihre Narbe am Knie

Ich bin auf das rechte Knie gefallen und konnte gar nicht mehr laufen. Die Kniescheibe war gebrochen und wie man in den Röntgenbildern gesehen hat, gleich in viele Teile. Ich bin in der Rosenhöhe gut operiert worden. Ich kann heute wieder alles machen und komme auch auf der Treppe ohne Probleme zurecht.

Mehrfragmentärer Kniescheibenbruch nach Sturz, der intraoperativ insbesondere neben quer verlaufenden Brüchen, auch horizontale Bruchkomponenten umfasste. Versorgung mit einer speziellen winkelstabilen Platte. Das Ergebnis zeigt eine sehr gute Funktion mit Wiederherstellung der vollständigen Kniegelenksfunktion.

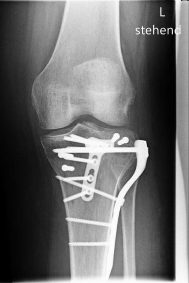
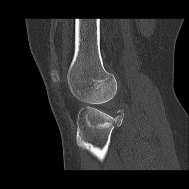
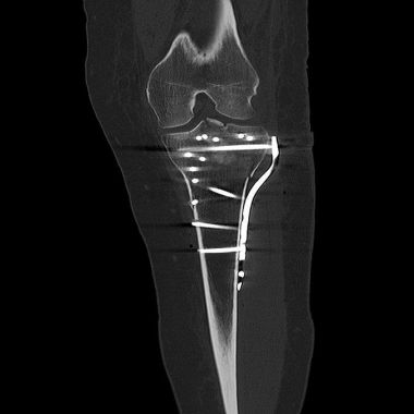
Bild Patientin 3 Monate nach Tibiakopffraktur

„Ich bin an einem Sonntag mit meinem Fahrrad gestürzt und dachte zuerst gar nicht, dass das so schlimm gewesen ist. Der Schienenbeinkopf war jedoch auf der Außenseite gebrochen und die Gelenkfläche richtig eingedrückt. Das konnte man auf den CT- Bildern gut sehen. Nach der Operation habe ich dann eine ganze Zeit entlastet aber schon bewegt. Jetzt 3 Monate nach der Verletzung geht es eigentlich schon ganz gut.“

Im April 2022 versorgter außenseitiger Schienenbeinkopfbruch (Tibiakopffraktur) bei einer 35-jährigen Patientin. Bei der Versorgung wurde anhand der CT – Untersuchung die außenseitige kniekehlenwärts gelegene Gelenkflächenabsenkung wieder angehoben und mit Knochen unterfüttert. Intraoperativ wurde mit Hilfe der Arthroskopie die Gelenkfläche überprüft. Anschließend wurde die Rekonstruktion durch die seitliche und hintere Platte sowie zusätzliche Schrauben stabilisiert. Nach der Operation konnte das Knie steigernd bewegt und zunächst mit einer Teilbelastung an Unterarmgehstützen belastet werden. Nach 3 Monaten ist die freie Belastung bei guter Beweglichkeit wieder erzielt worden.

Bild Patient zeigt nach der OP seine Narbe

„Ich bin hinter meinen Kindern her gelaufen, dabei ist mir ganz blöd das rechte Knie weggeknickt. Dass man sich dabei so verletzten kann, finde ich immer noch erstaunlich. Nach der Operation musste ich zunächst mit Unterarmstützen eine Zeit lang entlasten und habe viel an der Bewegung gearbeitet. Heute kann wieder ganz normal gehen. Das Joggen und Rennen muss ich mir noch erarbeiten.“

Im Januar 2023 hier operativ versorgte bikondyläre Tibiakopffraktur eines 38 jährigen Familienvaters. Insbesondere die außenseitige hinten liegende Bruchsituation erfordert eine dorsale Plattenlage über einen erweiterten posterolateralen Zugang und intraoperative arthroskopische Kontrolle. Es konnte eine stufenfreie Rekonstruktion und ein nachfolgend sehr schönes funktionelles Ergebnis erzielt werden.

Copyright 2026. All Rights Reserved.
You are using an outdated browser. The website may not be displayed correctly. Close