Support

Lorem ipsum dolor sit amet:

24h / 365days

We offer support for our customers

Mon - Fri 8:00am - 5:00pm (GMT +1)

Get in touch

Cybersteel Inc.
376-293 City Road, Suite 600
San Francisco, CA 94102

Have any questions?
+44 1234 567 890

Drop us a line
info@yourdomain.com

About us

Lorem ipsum dolor sit amet, consectetuer adipiscing elit.

Aenean commodo ligula eget dolor. Aenean massa. Cum sociis natoque penatibus et magnis dis parturient montes, nascetur ridiculus mus. Donec quam felis, ultricies nec.

SCHENKELHALSFRAKTUR

Durch die steigende Zahl älterer Menschen in unserer Gesellschaft und dem zunehmenden Knochenabbau bei Menschen ab einem Lebensalter von 75 Jahren steigt auch die Zahl an Knochenbrüchen. Besonders häufig ist der Bereich um das Hüftgelenk betroffen. Das bedeutet für die Expert*innen in unserer Abteilung für Unfallchirurgie und Orthopädie im Klinikum Rosenhöhe eine tägliche Herausforderung, die Gehfähigkeit und Mobilität der Unfallverletzten, meist älteren Patient*innen so weit wie möglich wieder herzustellen.

Bei einer Schenkelhalsfraktur verläuft der Bruch unmittelbar unterhalb des Hüftkopfes. Je nach Bruchverlauf (Pauwels Klassifikation) und Grad der Verschiebung (Garden Klassifikation) kommen sowohl den Bruch stabilisierende Verfahren mit Erhalt des körpereigenen Hüftkopfes, als auch kopfersetzende Operationsverfahren (künstliches Hüftgelenk) zur Anwendung. Immer ist das Ziel, ein stabiles, belastbares Hüftgelenk herzustellen, da das Hüftgelenk selbst schon beim Aufrichten aus der liegenden Position im Bett mit annähernd Körpergewicht belastet wird.

Die operative Versorgung der Fraktur wird innerhalb von 24 – 48 Stunden nach stationärer Aufnahme angestrebt. Bei der Vorbereitung zur Operation müssen insbesondere die oft bereits vorhandenen Erkrankungen und die verordneten Medikamente der meist älteren Patient*innen berücksichtigt werden.

DIE FOLGENDEN BILDER ZEIGEN BEISPIELHAFT RÖNTGENERGEBNISSE NACH OPERATIVER BEHANDLUNG IN UNSERER ABTEILUNG:

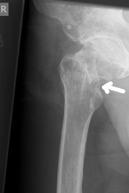
Deutliche Knochenstufe am Schenkelhals

Dynamische Hüftschraube und Antirotationsschraube bei stabilem Bruchtypus

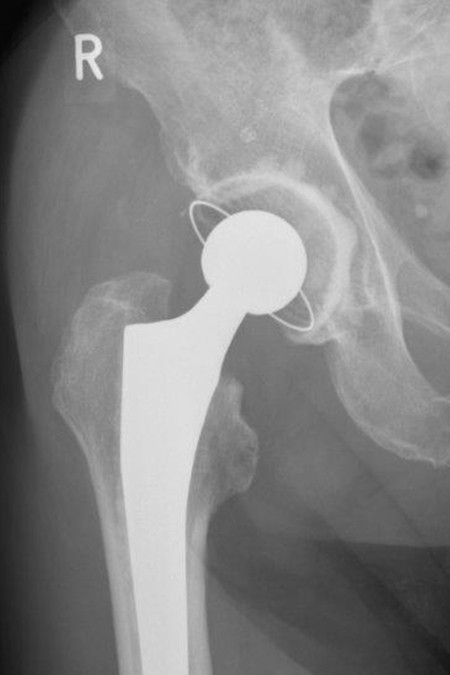
Künstliches Hüftgelenk bei instabilen und verschobenen Brüchen

In der weiteren Rehabilitation, ist es wichtig, nach dem Sturz erneut das Gehen wieder zu erlernen und Zutrauen wiederzufinden.
Die in vielen Fällen vorhandene altersbedingte Kalksalzminderung (Osteoporose) der Knochen als auch ein möglicherweise erhöhtes Sturzrisiko sollte durch weitere unterstützende Maßnahmen angegangen werden. Durch die enge Zusammenarbeit mit der Geriatrischen Klinik im Hause bestehen hier besonders gute Möglichkeiten der Weiterbehandlung.

Bild Patientin nach der OP

„Ich bin wirklich nicht gefallen! Ich habe immer schlechter laufen können und bin dann mit den rechten Hüftschmerzen bei meinem Orthopäden gewesen. Die Hüfte war tatsächlich eingebrochen und der Hüftkopf schon etwas abgerutscht, wie man auf den Bildern gut sehen kann. Nach der Operation konnte ich dann wieder gut laufen. Ich hab natürlich auch geübt.“

03/2021 – 76 jährige Frau mit wahrscheinlich durch Osteoporose bedingtem Bruch des Schenkelhalses rechts. Es wurde ein zementierter Standardschaft verwendet, der eine gleichmäßige Krafteinleitung in den Knochen des Oberschenkels gewährleistet.  Verlauf sonst unkompliziert mit guter Gelenkfunktion bereits 2 Monate nach Operation. Die Osteoporose sollte durch Bewegung und Medikamente über einen längeren Zeitraum behandelt werden.

OPERATIVE VERSORGUNG DER PATIENTIN

rechtsseitige Schenkelhalsfraktur

Planung der Hüftendoprothese

Copyright 2026. All Rights Reserved.
You are using an outdated browser. The website may not be displayed correctly. Close