Support

Lorem ipsum dolor sit amet:

24h / 365days

We offer support for our customers

Mon - Fri 8:00am - 5:00pm (GMT +1)

Get in touch

Cybersteel Inc.
376-293 City Road, Suite 600
San Francisco, CA 94102

Have any questions?
+44 1234 567 890

Drop us a line
info@yourdomain.com

About us

Lorem ipsum dolor sit amet, consectetuer adipiscing elit.

Aenean commodo ligula eget dolor. Aenean massa. Cum sociis natoque penatibus et magnis dis parturient montes, nascetur ridiculus mus. Donec quam felis, ultricies nec.

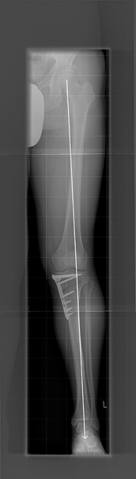
UMSTELLUNGSOSTEOTOMIE

Eine Möglichkeit der Behandlung von Verschleißleiden ist die Umstellungsosteotomie. Nach Unfällen aber auch angeboren können erhebliche Achsenabweichungen an den Beinen vorliegen. Solche Abweichungen von der zentralen Tragachse führen zu schmerzhaften Fehlbelastungen und einem vorzeitigen Verschleiß des überlasteten Gelenkabschnittes. Die Korrektur solcher Achsenabweichungen führt zu einer gleichmäßigeren Belastung des Kniegelenkes und dann auch zum Rückgang der Beschwerden.  Man unterscheidet verschiedene Techniken der Osteotomien, wie schließende und öffnende Osteotomien, die je nach Fehlstellung und vorliegendem Verschleißbild angewendet werden können.

Wir führen Umstellungsosteotomien nach Analyse computerunterstützt durch. Hierdurch kann eine hohe Genauigkeit bei der Durchführung erzielt werden.

Nach solchen Operationen ist in den meisten Fällen eine Teilbelastung notwendig, um die Knochenheilung zu schützen. Der Prozess der „Umgewöhnung“ des Gelenkes nimmt eine Zeit von ca. 3 -6 Monaten in Anspruch. Es kann durch solche Korrekturen in vielen Fällen ein künstliches Gelenk über 10 Jahre und mehr vermieden werden.

Bild HTO mit Tomofixplatte vor OP
Bild HTO mit Tomofixplatte nach OP
Copyright 2026. All Rights Reserved.
You are using an outdated browser. The website may not be displayed correctly. Close