Support

Lorem ipsum dolor sit amet:

24h / 365days

We offer support for our customers

Mon - Fri 8:00am - 5:00pm (GMT +1)

Get in touch

Cybersteel Inc.
376-293 City Road, Suite 600
San Francisco, CA 94102

Have any questions?
+44 1234 567 890

Drop us a line
info@yourdomain.com

About us

Lorem ipsum dolor sit amet, consectetuer adipiscing elit.

Aenean commodo ligula eget dolor. Aenean massa. Cum sociis natoque penatibus et magnis dis parturient montes, nascetur ridiculus mus. Donec quam felis, ultricies nec.

BECKENFRAKTUREN

Beckenbrüche treten sowohl im Rahmen von schweren Unfällen als auch in steigender Zahl im Alter bei geschwächter Knochenstruktur auf. Bei einer älter werdenden Gesellschaft und der steigenden Lebenserwartung sehen wir eine zunehmende Häufigkeit und klinische Relevanz der mit einer Knochenschwäche (Osteoporose) verbundenen Insuffizienz- oder Fragilitätsfrakturen des Beckenringes.

Dabei werden als Fragilitätsfraktur Brüche des Beckenrings verstanden, die aufgrund eines nicht adäquaten Unfalls oder sogar spontan entstehen (WHO).

Entsprechend der Altersverteilung der Osteoporose  handelt es sich meist um betagte Patientinnen um die 80 Jahre, die über den Verlust der Mobilität mit starken Schmerzen im Beckenbereich oder der unteren Wirbelsäule klagen, ohne dass Sie ein erheblichen Unfall erlitten hätten.

Diese Beckenringbrüche werden je nach Ausmaß sowohl konservativ als auch operativ behandelt. Dabei ist es entscheidend, die jeweilige Situation anhand einer CT Untersuchung unter Berücksichtigung des Bruchtyps zu analysieren. Die Behandlung umfasst eine schmerztherapeutische Behandlung, Mobilisationstraining, Behandlung der Osteoporose und, je nach Frakturtyp und klinischer Situation, eine operative Stabilisation. Unser Ziel ist, frühzeitig eine Mobilisation erneut zu erzielen und eine eigenständige Mobilität zu erhalten.

Beckenmodell

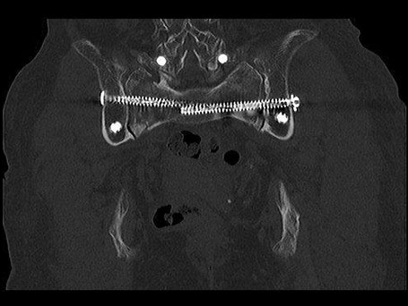
Hintere beiderseitige Kreuzbeinfraktur

Bild Patientin nach der OP

„Ich bin vor 4 Wochen gefallen. Die Schmerzen an der Wirbelsäule und am Po wurden immer schlimmer statt besser und ich konnte dann gar nicht mehr laufen. Das Sitzen war auch sehr schmerzhaft.
Ich kann jetzt, drei Wochen nach der Operation, wieder laufen und es wird immer besser. Kurze Strecken gehen auch schon ohne Rollator.“

Patientin mit beiderseitigem Bruch des Kreuzbeins und Querfraktur (U-Shaped fracture). Stabilisation über beiderseitige Verschraubung auf S1-Höhe sowie spinopelvine Stabilisation über Schrauben – Stabsystem führt zu einer Stabilisation des hinteren Beckenrings, sodass der Knochen im weiteren Verlauf trotz der Belastung heilen kann.

OPERATIVE VERSORGUNG DER PATIENTIN

Beiderseitige Verschraubung auf S1-Höhe sowie spinopelvine Stabilisation über Schrauben-Stabsystem

Bild Beckenringverschraubung Patientin mit Rollator

„Ich bin schon am 30.12.2021 gestürzt und damals konnte man bei der Röntgenuntersuchung nichts feststellen. Die Schmerzen am Becken waren erst auch noch geringer ausgeprägt. Der Schmerz hat dann aber so zugenommen – ich konnte nicht mehr laufen. Das schmerzte in der Leiste und am Po. Sitzen konnte ich auch ganz schlecht. Nach meiner Operation waren zwar noch Schmerzen da, es ging aber schon deutlich wieder bergauf und am Rollator konnte ich dann wieder auf dem Stationsflur schon unterwegs sein. Die Brüche müssen aber noch heilen.“

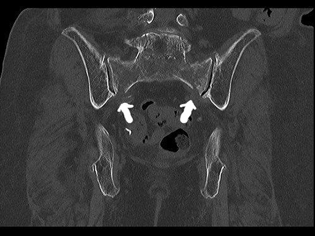
89-jährige Patientin mit Beckenringfraktur beidseits transsacral und rechtsseitigem vorderen Schambein und Sitzbeinbruch. Auch im Nachhinein konnte anhand der zuerst auswärtig erstellten Röntgenbilder kein Bruch erkannt werden. Bei der ersten Vorstellung hier 4 Wochen nach dem Unfall zeigten die Kontrollbilder dann eindeutig die Verletzung und wir veranlassten eine CT Untersuchung. Bei den Beckenbrüchen der alten Patient*innen kann in vielen Fällen ohne Operation behandelt werden. Bei anhaltenden Schmerzen sollte jedoch erneut Diagnostik erfolgen und dann gegebenenfalls auch eine operative Stabilisation durchgeführt werden, um eine chronische Fraktur und die damit verbundenen Schmerzen und Immobilität zu vermeiden.

Es wurde bei der Patientin eine Verschraubung des Beckens durchgeführt und damit die Situation so stabilisiert, dass die Patientin wieder mobilisiert werden konnte.

OPERATIVE VERSORGUNG DER PATIENTIN

Beiderseitige Sacrumfraktur

Beckenringfraktur post-operativ

Beckenringfraktur Verschraubung

VIDEO

Bild Beckenringverschraubung Patientin mit Rollator

Durch Klick auf das Bild öffnet sich ein kurzes Video, das die Patientin am zweiten Tag nach der Operation zeigt.

Copyright 2026. All Rights Reserved.
You are using an outdated browser. The website may not be displayed correctly. Close