Support

Lorem ipsum dolor sit amet:

24h / 365days

We offer support for our customers

Mon - Fri 8:00am - 5:00pm (GMT +1)

Get in touch

Cybersteel Inc.
376-293 City Road, Suite 600
San Francisco, CA 94102

Have any questions?
+44 1234 567 890

Drop us a line
info@yourdomain.com

About us

Lorem ipsum dolor sit amet, consectetuer adipiscing elit.

Aenean commodo ligula eget dolor. Aenean massa. Cum sociis natoque penatibus et magnis dis parturient montes, nascetur ridiculus mus. Donec quam felis, ultricies nec.

ROTATORENMANSCHETTE

Ein Schwerpunkt der Schulterbehandlung ist die Behandlung von Sehnenschäden in der Schulter (Rotatorenmanschettenruptur). Entweder durch Alterungsprozesse aber auch unfallbedingt führt ein Sehnenabriss zu einer mangelhaften Kraftbalance in der Schulter. Der Oberarmkopf wird nicht mehr richtig bei der Armbewegung zur Schultergelenkspfanne zentriert. Das Heben des Arms wird schmerzhaft und kraftlos.

Die Erkrankung der Sehnen kann von einer Aufrauhung über eine Teildurchtrennung bis hin zum vollständigen Abriss der Sehnen reichen. Durch eine klinische Untersuchung mit spezifischen Funktionstests zur Beweglichkeit und Kraft sowie bildgebenden Untersuchungen wie Röntgen, Ultraschall und Kernspintomographie kann ein genaues Gesamtbild der Situation im Rahmen der Sprechstunde erstellt werden.

Die Behandlung von Erkrankungen der Sehnenplatte an der Schulter richtet sich nach der aktuellen Funktion, den vorliegenden Veränderungen und ggf. der Defektgröße und Verkürzung der Sehnen und zugehörigen Muskeln.

Bei den unfallbedingten Abrissen ist in den meisten Fällen eine zügige operative Behandlung zu empfehlen.

KONSERVATIVE BEHANDLUNG

Bei den Defektbildungen im Rahmen der Verschleißerkrankungen können in vielen Fällen durchaus krankengymnastische Übungen und schmerztherapeutische, antientzündliche Therapien erfolgreich eingesetzt werden. Eine Überprüfung des Behandlungserfolges im Verlauf sollte stattfinden.

OPERATIVE BEHANDLUNG

Bei stärkeren Funktionseinschränkungen und nach frustraner (=erfolgloser) konservativer Behandlung ist bei den verschleißbedingten Sehnenablösungen eine operative Therapie zu erwägen. In die Überlegung, welche Therapie sinnvoll ist, muss auch die zu erwartenden Muskelfunktion mit einbezogen werden. Je länger der Muskel durch den Abriss seines Sehnenansatzes nicht mehr gebraucht worden ist, desto schlechter lässt er sich, auch wenn die Sehne wieder am Oberarmkopf anheilt, „aufwecken“ und durch Training eine adäquate Funktion wiederherstellen.

Es kommen verschiedene operative Therapien in Betracht. Das primäre Ziel der operativen Behandlung ist die vollständige stabile Fixierung aller Sehnenansätze an den Oberarmkopf. Bei fortgeschrittener Defektbildung kann auch eine Teilrekonstruktion der Sehnen ein alltagstaugliches Ergebnis erzielen.

  • Arthroskopische Sehnenrekonstruktion „ Schlüsselloch-Chirurgie“
    Die Operation in und um das Gelenk wird über kleine Inzisionen von ca. 1 cm mit Hilfe einer dünnen Stabkamera in Videotechnik durchgeführt. Das Gelenk wird mit Wasser aufgefüllt und über weitere kleine Inzisionen werden Instrumente in das Operationsfeld gebracht.
  • Offene Rekonstruktion
    In manchen Situationen ist es besser, über einen größeren Schnitt unter direkter Sicht die Sehnen wieder anzunähen
  • Ersatzverfahren
    Es gibt seltener die Indikation, Ersatzverfahren durchzuführen
  • Künstliches Schultergelenk
    Bei fortgeschrittenem Sehnendefekt kommt es zum Höhertreten des Oberarmkopfes unter das Schulterdach. Die dauerhafte Dezentrierung führt zu einem speziellen Bild des Gelenkverschleißes (Defektarthropathie). In solchen Fällen können künstliche Schultergelenke sehr hilfreich eingesetzt werden.

ARTHROSKOPIE DER SCHULTER

Arthroskopie der Schulter

Nähen des Risses während der Arthroskopie

Nähen des Risses während der Arthroskopie

Rotatorenmanschettenriß in der Kernspintomographie

Die Einheilung der Sehnenansätze an den Knochen ist ein langwieriger Prozess. Dementsprechend ist die Nachbehandlung nach Sehnenrekonstruktion in den ersten 6 Wochen durch eine deutliche Einschränkung der Schultergelenksfunktion gekennzeichnet. In vielen Fällen werden Lagerungskissen verschreiben, die Sie im täglichen Leben einschränken, so dass eine Unterstützung durch Angehörige und Freunde für diese Zeit notwendig ist. Die Nachbehandlung wird durch entsprechende Nachbehandlungsschemata strukturiert, die Ihnen  nach der Operation an die Hand gegeben werden. Die Behandlung dauert insgesamt zwischen 3 Monaten und einem halben Jahr.

ICH KANN WIEDER HOLZ MACHEN...

Bild Patient nach OP Rotatorenmanschette

Die Verletzung:
Im Juli 2019 stürzte ich als ich auf einen Stuhl stieg und dieser zusammenbrach. Ich konnte den Arm nicht mehr hochheben und hatte auch starke Schmerzen. Der Knochen war nicht gebrochen. Aber in der Schichtbilduntersuchung waren die Sehnen in der Schulter gerissen. Da ging nicht mehr viel.
Nach der Operation hat es dann fast ein Jahr gedauert. Ich habe zwischenzeitlich auch ein bisschen gezweifelt ob das noch was wird. Aber in der zweiten Jahreshälfte ist es dann immer besser geworden und ich kann jetzt auch wieder Holz machen im Wald.

Die Versorgung:
Rotatorenmanschettenmassenruptur der linken Schulter eines rechtshändigen Patienten. Die Ruptur zeigte sich intraoperativ zum größten Teil frisch in Teilen auch bereits vorbestehend. Rekonstruktion teils arthroskopisch, teils offen. Im Verlauf nach primär guter Einheilung zunächst anhaltender Reizzustand mit vorübergehender Steifigkeit. Letztendlich freies Bewegungsausmaß mit guter Kraftentwicklung.

ROTATORENMANSCHETTENMASSENRUPTUR

Rotatorenmanschettemassenruptur: Subscapularis- und Infraspinatus-Abriss

Rotatorenmanschettemassenruptur: Supraspinatusabriss

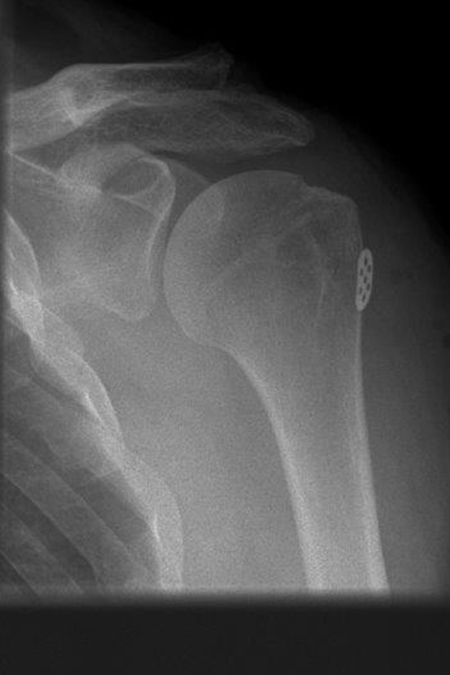
Rotatorenmanschettemassenruptur: teils offene transossäre Auszugsnähte mit Fixation über Plättchen

Bild Patient nach arthrokopischer Rotatorenmanschettenrekonstruktion

Die Verletzung:
„Mir ist die Schulter beim Volleyball herausgesprungen. Seitdem habe ich Schmerzen und kann nicht den Arm richtig einsetzen.“

Die Versorgung:
Der Patient berichtet, dass er beim Volleyballspiel beim Überkopfaufschlag eine Schultergelenksverrenkung (Luxation) erlitten habe. Er habe bereits zuvor leichte Beschwerden gehabt. In der Kernspintomographie zeigte sich ein Sehnenabriss an der Supraspinatussehne wie auch eine Kapselverletzung am vorderen unteren Gelenk. Arthroskopisches Vorgehen mit Rekonstruktion der Läsionen. Der Patient demonstriert nach 6 Monaten im Januar 2022 eine stabile Schulter im Rahmen der Liegestütze. Eine Wiederaufnahme des Volleyballspielens ist im Weiteren geplant.

VIDEO 6 MONATE NACH OPERATION

Video Liegestuetz 6 Monate nach OP

Durch Klick auf das Bild öffnet sich ein Video.

"Ich hatte richtig Schmerzen und kam überhaupt nicht mehr zurecht. Ich konnte mir kaum noch die Haare machen. Die Krankengymnastik und die Tabletten haben mir nicht geholfen. Ich wurde dann von Dr. Schildknecht arthroskopisch operiert. Der Sehnendefekt konnte zwar nicht komplett geschlossen werden, aber er hat einen Ballon eingesetzt. Danach hat es fast ein Jahr gedauert aber jetzt kann ich wieder alles fast ohne Schmerzen machen."

62-jährige Patientin mit erheblichen Schmerzen und vollschichtiger Supraspinatussehnenablösung. Die Sehne war sehr weit zurückgezogen, bereits sichtbar auf der präoperativen Kernspintomographie und ließ sich auch intraoperativ nicht so weit mobilisieren. Eine Rekonstruktion war spannungsarm nicht möglich. Es wurde ein mit Flüssigkeit gefüllter Ballon unter dem Schulterdach arthroskopisch gestützt eingeschoben und entfaltet. Dieser Ballon führt neben einer Abstandshaltung zum Schulterdach zu einer Fremdköperreaktion und Membranbildung. Durch die anhaltende Trainingstherapie konnte die Patientin trotz des Defektes eine Rezentrierung des Gelenkes mit sehr guter anhaltender Funktion erzielen.

Nach Balloninplantation

Nach Balloninplantation

Infraspinatus und Subscapularis intakt

Supraspinatusdefekt

DIE ROTATORENMANSCHETTE UND INVERSE PROTHETIK: VIDEO

Bild Bürger fragen Rotatorenmanschette Livestream

Dr. med. Mark Schildknecht, leitender Arzt der Abteilung für Orthopädie und Unfallchirurgie am Klinikum Bielefeld - Rosenhöhe, widmet sich im Live-Stream der Reihe "Bürger fragen - Ärzte antworten LIVE" der Rotatorenmanschette und der Inversen Prothetik.

Das Video finden Sie hier oder per Klick auf das Bild.

SCHULTERGELENKVERSCHLEISS BEI SEHNENDEFEKT DER ROTATORENMANSCHETTE (DEFEKTARTHROPATHIE

Bei einer ausgeprägten Rotatorenmanschettenläsion wird durch das Höhertreten des Oberarmkopfes ein neues, nach oben verschobenes Drehzentrum ausgebildet, das unter dem Schulterdach liegt. Der Oberarmkopf kann durch die fehlenden Sehnen nicht mehr zur Gelenkpfanne zentriert werden. Dies hat einen Gelenkflächenverschleiß zur Folge. Bei derartigen Verläufen entwickeln sich dann durch das dezentrierte Gelenk Schmerzen (Rotatorenmanschettendefekt-Arthropathie). Das typische Beschwerdebild ist durch Ruhe- und Bewegungsschmerzen sowie Funktionsverlust geprägt.

Einen Lösungsansatz stellt die inverse Prothese dar. Durch die besondere Bauart dieses künstlichen Schultergelenks wird das Drehzentrum des Oberarmkopfs zur Seite und nach unten verschoben. Hierdurch erhält der Schulterkappenmuskel (M. deltoideus) einen erheblich besseren Hebelarm, was einerseits zu einer deutlichen Schmerzreduktion, andererseits zu einer adäquaten Schultergelenksfunktion führt. Der Erfolg eines solchen künstlichen Gelenkes basiert einerseits auf einer Gelenkrekonstruktion, die das entsprechende Abnutzungsmuster des Gelenkes berücksichtigt (Farvard-Klassifikation), zum anderen auf einer gut funktionsfähigen Schultermuskulatur soweit diese noch intakt ist. Dabei kommt der möglichst noch vorhanden außendrehenden Muskulatur des Muskulus Infraspinatus und Teres minor (Schultermuskeln) neben dem Schulterkappenmuskel (m. deltoideus) eine besondere Bedeutung zu.

Wir setzen zur Analyse des Gelenkes eine dreidimensionale CT Untersuchung ein und können so das Gelenk beurteilen und eine individuelle Planung für die operative Planung erstellen.

Bild von Patientin nach OP bei einem Gelenkverschleiss Sehnendefekt

„Ich bin völlig begeistert. Die Schmerzen sind weg und ich kann meinen Arm wieder richtig heben. Ich habe aber auch fleißig geübt. Velen Dank an das Team an der Rosenhöhe.“

Fortgeschrittene Omarthrose mit obenliegendem Substanzverlust an der knöchernen Pfanne (E3 Glenoid nach Farvard) bei einer Patientin mit Polyarthrose. Zementfreie Implantation einer Kurzschaft Inversen Schulterendprothese 2020 mit knöchernem Aufbau des Defektes aus dem eigenen Oberarmkopf (BIO RSA).  Sehr gutes Ergebnis nach ca. 6 Monaten.

Omarthrose mit Glenoidaufbrauch obere Hälfte

Kurzschaftendoprothese mit Defektaufbau Glenoid (BIO RSA)

Copyright 2026. All Rights Reserved.
You are using an outdated browser. The website may not be displayed correctly. Close