Support

Lorem ipsum dolor sit amet:

24h / 365days

We offer support for our customers

Mon - Fri 8:00am - 5:00pm (GMT +1)

Get in touch

Cybersteel Inc.
376-293 City Road, Suite 600
San Francisco, CA 94102

Have any questions?
+44 1234 567 890

Drop us a line
info@yourdomain.com

About us

Lorem ipsum dolor sit amet, consectetuer adipiscing elit.

Aenean commodo ligula eget dolor. Aenean massa. Cum sociis natoque penatibus et magnis dis parturient montes, nascetur ridiculus mus. Donec quam felis, ultricies nec.

ARTHROSE DES SCHULTERGELENKS

Der Schultergelenksverschleiß (Omarthrose) führt zu einer  schmerzhaften Einschränkung der Schulterfunktion mit Neigung zur bindegewebigen Kapselverdickung und knöcherner Formveränderung. Das Krankheitsbild ist zuerst geprägt durch Belastungs- und Bewegungsbeschwerden. Im weiteren Verlauf kommen dann auch Ermüdungsschmerzen sowie eine Beeinträchtigung des Bewegungsausmaßes, häufig in jede Richtung, hinzu. Zudem beklagen viele Patient*innen eine Kälteempfindlichkeit und ein verschleißbedingtes Knarren und Reiben sowie daraus folgende Muskelschmerzen und Verspannungen.

Im Gegensatz zu den Gelenken an der Hüfte oder am Knie, handelt es sich bei der Schulter um ein mehr dynamisch und weniger statisch belastetes Gelenk. Die Beschwerden der Omarthrose führen daher die Patient*innen oftmals erst in einem weiter fortgeschrittenen Stadium des Verschleißprozesses zu einer ärztlichen Behandlung.

Die konservative Behandlung zielt auf eine Verbesserung der Beweglichkeit und Reduktion der Schmerzen durch Dehnen der Kapsel und Bewegungstherapie sowie antientzündliche Medikation ab.

Arthroskopische operative Behandlungen können in ausgewählten Fällen durch Lösen von Verklebungen und Abtragen von Knochenvorsprüngen eine graduelle Verbesserung der Schultergelenksfunktion erzielen.

Wenn durch konservative bzw. limitierte operative Maßnahmen keine Verbesserung mehr zu erreichen ist, kann die Implantation eines künstlichen Schultergelenkes zu einer deutlichen Schmerzreduktion und Funktionsverbesserung führen. Zum einen ist eine auf die individuellen anatomischen Gegebenheiten abgestimmte Operation Voraussetzung für ein gutes Ergebnis. Zum anderen ist an der Schulter im besonderen Maße ein zeitabgestimmtes Zusammenspiel zwischen Heilungsprozessen und Physiotherapie nach der operativen Behandlung notwendig. Ziel ist es, bei einheilenden Sehnenstrukturen neben der Schmerzreduktion schrittweise die Beweglichkeit und Einsatzfähigkeit der Schulter zu steigern.

Die Auswahl des Implantates richtet sich nach der Sehnenfunktion, der Knochenqualität und der Grunderkrankung, die zur Omarthrose geführt hat.

Zur Vorbereitung der Operation legen wir spezielle CT Untersuchungen an, um nach Analyse des Gelenkes eine genaue Planung zu ermöglichen. Dabei wird in allen Ebenen die Abnutzung des Gelenkes, etwaige Knochendefekte und die aktuelle Stellung der Gelenkpartner zueinander analysiert. Diese Planung führt durch die dreidimensionale Analyse der patienteneigenen Anatomie und eine Bewegungssimulation im Computer mit eingesetzten Implantaten zu einer sehr genauen Planung der Operation.

In seltenen Fällen ist der reine Ersatz nur des Oberarmkopfes sinnvoll. In den meisten Fällen ist das gesamte Gelenk betroffen und sollte daher sowohl die Pfannen- als auch die Oberarmkopfseite ersetzt werden. Hierbei kommen unterschiedliche Implantate zur Anwendung.

Ist das Gelenk weitgehend zentriert und die Sehnenansätze weitgehend intakt, lässt sich eine anatomische Schulterprothese einsetzen. Das Bauprinzip entspricht der herkömmlichen Schulteranatomie und ersetzt die körpereigenen abgenutzten Gelenkoberflächen durch künstliche neue Oberflächen.

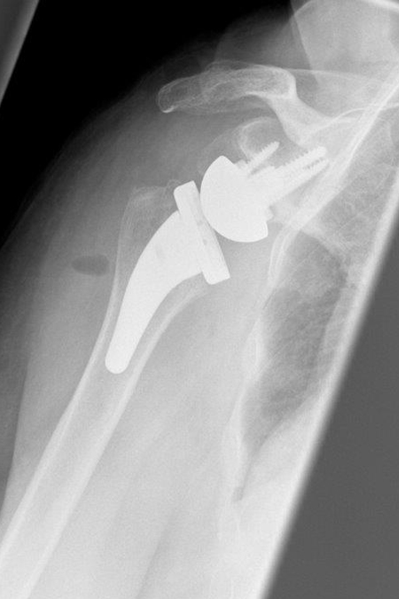
Sollte es zu einer starken Dezentrierung des Gelenkes oft nach hinten und einem starken Verlust von Knochen an der Pfanne gekommen sein, setzen wir häufig zur Zentrierung des Gelenkes und Vermeidung von Instabilität eine Inverse Schulterprothese ein. Durch das Bauprinzip, bei dem der Kopf des Oberarmes zur Pfanne wird und die Pfanne auf der Schulterblattseite zu einer Kugel umgebaut wird (umgedreht – invers), entsteht ein geführtes, teilgekoppeltes Gelenk. Der fehlende Knochen auf der Pfannenseite kann sowohl durch körpereignen als auch durch korrigierende metallischen Unterfütterungen ausgeglichen werden. Dieser Prothesentyp kommt auch bei der Behandlung von schweren Oberarmkopffrakturen insbesondere bei älteren Patient*innen zum Einsatz.

Ich kann jetzt wieder beim Autofahren das Lenkrad gut drehen und auch mit beiden Armen im Schrank wieder die oberen Regale benutzen. Vorher habe ich meinen rechten Arm ja bald ignoriert. Immer diese Schmerzen und ich kann jetzt auch wieder nachts schlafen.

Deutliche rechtsseitige Omarthrose (Schultergelenksverschleiß) mit dorsalem knöchernem Pfannendefekt in der dreidimensionalen präoperativen Planung. Operative Behandlung mit einem Knochenaufbau (BIO RSA) über den körpereignen Knochen aus dem Oberarmkopf und einem Inversen künstlichen Schultergelenk mit kurzem Schaft.

Ich komme schon gut zurecht und kann im Garten auch schon wieder was machen. Das ging ja gar nicht mehr ohne Schmerzen. Ich habe jetzt noch ein leichtes Ziehen und noch nicht soviel Kraft wie ich mir das vorstelle. Aber ich werde noch weiter trainieren.

86-jährige Patientin mit einer fortgeschrittenen Arthrose des rechten Schultergelenks und deutlicher Bewegungseinschränkung vor der Operation. In den präoperativen Planungs-CT-Bildern deutliche Deformierung des Oberarmkopfes durch die arthrosebedingten Randanbauten erkennbar.  2,5 Monate nach Operation und Rehabilitation bereits gutes alltagstaugliches Ergebnis nach Implantation einer Inversen Prothese.

Deutliche Knochenausziehung am Oberarmkopf vorn bei Arthrose

Kontrollbild nach Implantation einer Inversen Prothese

VIDEO DER PATIENTIN 2,5 MONATE NACH DER OP

Durch Klick auf das Bild öffnet sich das Video

„Ich bin froh, dass ich das gemacht habe. Ich konnte mir nicht mehr die Haare machen und Wäsche aufhängen ging natürlich gar nicht. Nach der Operation mit dem künstlichen Gelenk habe ich geübt und jetzt habe ich keine Schmerzen mehr und Wäsche aufhängen kann ich wieder. Vielen Dank an Dr. Schildknecht und das Team an der Rosenhöhe.“

Primäre Omarthrose einer 84-jährigen Patientin auf der rechten Seite mit einem sich im 3D-CT darstellenden B2 Glenoid nach Walsh. Versorgung nach präoperativer virtueller Planung mit einer zementfreien Inversen Prothese. Alltagstaugliches Ergebnis mit Wiedergewinnung der Eigenständigkeit insbesondere auch in der Pflege ihrer eigenen Haare.

Ich bin ganz begeistert. Ich kann den linken Arm wieder ohne Schmerzen einsetzen und gebrauchen. Das hat sehr gut geklappt. Vorher war das eine Quälerei.

78-jährige Frau mit deutlicher Arthrose des Schultergelenks bei intakter Rotatorenmanschette – in der CT-Untersuchung keine wesentliche Dezentrierung des Gelenkes. Es wurde eine anatomische Schulterprothese mit kurzem Schaft Mitte 2019 eingesetzt mit gutem Ergebnis und Alltagstauglichkeit.

Bild von Patient nach OP

„Den oberen Schrank bekomme ich wieder in den Griff. Es hat gut geklappt. Nach der Operation habe ich dann, nachdem die Einheilung abgeschlossen war, das Gelenk immer besser in Schwung gebracht.“

Deutliche Arthrose des Schultergelenkes mit intakter Sehnenführung. Einsetzen einer Kurzschaftendoprothese 2020 und nachfolgende Rehabilitation über 3 Monate. Sehr alltagstaugliches Ergebnis ohne Schmerzen.

CT horizontal Omarthrose

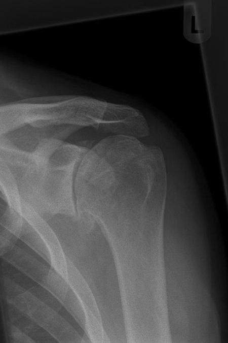
Omarthrose im Röntgenbild vor der OP

Planung Glenoid

Kurzschaft Ascend Flex ap

Physio nach OP

Eine Ursache des Schultergelenkverschleißes ist die avaskuläre Humeruskopfnekrose, die wahrscheinlich ursächlich auf eine lokale Mangeldurchblutung aufgrund eines Gefäßverschlusses zurückzuführen ist. Nicht selten finden sich bei diesen Patient*innen begleitende allgemeine Stoffwechselstörungen wie die Zuckerkrankheit, Fettstoffwechselstörungen und/oder Gicht; ähnliche Störungen sind bei einer chronischen Alkoholkrankheit zu beobachten. Da trotz Knorpelaufbruch des Oberarmkopfes oft die Gelenkfläche der Gelenkpfanne noch intakt ist, können wir oftmals mit dem alleinigen Ersatz der oberarmkopfseitigen Gelenkfläche (Hemiprothese) ein sehr gutes Behandlungsresultat erzielen.

Außenrotation nach Hemiprothese

"Ich wusste zuerst gar nicht genau, warum die Schulter immer so schmerzte. Der Schmerz war immer da. Ich konnte den Arm dann auch zunehmend nicht mehr belasten. Dr. Schildknecht hat mich dann operiert und mir eine spezielle Prothese mit einem Pyrocarbonkopf eingesetzt. Geht super. Die Schmerzen sind weg und ich kann den Arm wieder einsetzen."

58 jährige ehemalige Krankenschwester mit einer flächigen Oberarmkopfnekrose links durch eine Durchblutungsstörung des Knochens. Implantation einer Kurzschaftprothese mit Pyrokarbonkopf ohne Glenoidersatz.

Partielle Oberarmkopfnekrose

Planung Hemiprothese

Hemiprothese mit Pyrokarbonkopf

Hinterkopfgriff nach Hemiprothese

Armstreckung nach Hemiprothese

Copyright 2026. All Rights Reserved.
You are using an outdated browser. The website may not be displayed correctly. Close