Support

Lorem ipsum dolor sit amet:

24h / 365days

We offer support for our customers

Mon - Fri 8:00am - 5:00pm (GMT +1)

Get in touch

Cybersteel Inc.
376-293 City Road, Suite 600
San Francisco, CA 94102

Have any questions?
+44 1234 567 890

Drop us a line
info@yourdomain.com

About us

Lorem ipsum dolor sit amet, consectetuer adipiscing elit.

Aenean commodo ligula eget dolor. Aenean massa. Cum sociis natoque penatibus et magnis dis parturient montes, nascetur ridiculus mus. Donec quam felis, ultricies nec.

TUMORORTHOPÄDIE

Es besteht eine langjährige Erfahrung in der Diagnostik und Therapie von gut- und bösartigen Tumorerkrankungen am Skelettsystem. Das Auftreten von Tumorerkrankungen bedeutet für die Patienten oft eine ganz besondere Belastung. Dafür ist es notwendig, dass eine rasche und eindeutige Diagnose gestellt werden kann, um die notwendigen Therapieschritte einzuleiten.

Gutartige Tumoren im Bereich des Knochen-Skelettsystems lassen sich fast immer vollständig heilen, ohne dass der Patient wesentliche funktionelle Nachteile auf sich nehmen muss. Sofern notwendig, können die wegfallenden Knochenanteile in der Regel gut ersetzt werden. Hierzu wird ein biologischer Ersatz bevorzugt. Z.B. kann das Schlüsselbein (Klavikula) als Ersatz für den oberen Teil des Oberarmknochens (Humerus) verwendet werden.

KLAVIKULA PRO HUMERO

Röntgenbilder eines bösartigen Knochentumors des Oberarms und Tumorentfernung und Ersatz durch das geschwenkte Schlüsselbein

Links: MRT-Bild eines bösartigen Knochentumors des Oberarms
Rechts: Tumorentfernung und Ersatz durch das geschwenkte Schlüsselbein
(Bilder: Orthopädie)

Das Wadenbein (Fibula) ist ein geeignetes Transplantat, um z.B. Knochengewebe der Speiche (Radius) oder des Oberarmes zu ersetzen.

Bilder eines bösartiger Knochentumor der Speiche wurde nach Entfernung durch einen Teil des Wadenbeins ersetzt

Ein bösartiger Knochentumor der Speiche (Radius) wurde nach Entfernung durch einen Teil des Wadenbeins (Fibula) ersetzt.
Links: Röntgenbild nach der Operation
Mitte und Rechts: klinisches Ergebnis
(Bilder: Prof. Dr. Ludger Bernd)

Wenn kein biologischer Ersatz möglich ist oder mit einem Kunstimplantat ein besseres Ergebnis zu erzielen ist, wird letzteres eingesetzt.

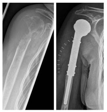
Röntgenbild der bösartige Tumor wurde entfernt und das betroffene Schultergelenk durch eine Tumorprothese ersetzt

Der bösartige Tumor wurde entfernt und das betroffene Schultergelenk durch eine Tumorprothese ersetzt. (Bilder: Orthopädie)

Röntgenbild Ellenbogengelenkersatz

Ellenbogengelenkersatz

Röntgenbild Ersatz des Hüftgelenkes und oberen Anteils des Oberschenkelknochens durch eine Prothese

Ersatz des Hüftgelenkes und oberen Anteils des Oberschenkelknochens durch eine Prothese.
(Bild: Orthopädie)

Röntgenbild Ersatz des Kniegelenkes durch eine Tumorprothese

Ersatz des Kniegelenkes durch eine Tumorprothese. (Bilder: Orthopädie)

MRT-Bild eines Kniegelenkes mit Tumorbefall undRöntgenbild nach Tumorentfernung und Überbrückung des Defektes mit einem Arthrodesestab

Wenn ein Tumor auch Sehnen und Muskeln betrifft, kann ein Kunstgelenk nicht mehr funktionieren. Durch eine Versteifung des Kniegelenkes kann aber ein belastungsstabiles Bein erreicht werden.

Links: MRT-Bild eines Kniegelenkes mit Tumorbefall Rechts: Röntgenbild nach Tumorentfernung und Überbrückung des Defektes mit einem Arthrodesestab (Bilder: Orthopädie)

Die Behandlung bösartiger Knochentumoren stellt alle Beteiligten vor deutlich höhere Anforderungen. Hier ist ein interdisziplinäres Vorgehen notwendig. Glücklicherweise verfügt das Klinikum über alle notwendigen Fachbereiche, sodass die interdisziplinäre Diagnostik und Therapie zeit- und ortsnah durchgeführt werden können. Besonders hilfreich dabei ist die wöchentlich stattfindende Tumorkonferenz, in der auch alle Fälle mit bösartigen Tumoren des Skelettsystems interdisziplinär besprochen und diskutiert werden.

Darüber hinaus ist Chefarzt Prof. Dr. Ludger Bernd in überregionale Tumor-Arbeitskreise eingebunden und verfügt aufgrund seiner Ausbildung über eine langjährige Erfahrung in der Diagnostik und Therapie von Tumorerkrankungen am Skelettsystem. Es besteht hier ein weit über die Region hinausgehender Einzugsbereich.

Weitere Informationen zur Behandlung von Knochentumoren an der Wirbelsäule finden Sie unter dem Kapitel „Wirbelsäule“.

Copyright 2026. All Rights Reserved.
You are using an outdated browser. The website may not be displayed correctly. Close