Support

Lorem ipsum dolor sit amet:

24h / 365days

We offer support for our customers

Mon - Fri 8:00am - 5:00pm (GMT +1)

Get in touch

Cybersteel Inc.
376-293 City Road, Suite 600
San Francisco, CA 94102

Have any questions?
+44 1234 567 890

Drop us a line
info@yourdomain.com

About us

Lorem ipsum dolor sit amet, consectetuer adipiscing elit.

Aenean commodo ligula eget dolor. Aenean massa. Cum sociis natoque penatibus et magnis dis parturient montes, nascetur ridiculus mus. Donec quam felis, ultricies nec.

SCHULTERGELENKSLUXATION - SCHULTERINSTABILITÄT

KAPSELVERLETZUNG UND MEHR AN DER SCHULTER

Das Schultergelenk ist ein sehr bewegliches Gelenk, welches hauptsächlich durch Muskulatur und die Gelenkkapsel stabilisiert wird. Durch den Einriss oder Ausleiern der Kapsel verliert das Gelenk an Stabilität. Ursachen können unfallbedingte Schulterluxationen, eine dauerhafte Überbeanspruchung z.B. bei Überkopfsportarten oder eine angeborene Bindegewebsschwäche sein.

Rund um den gesamten Rand der flachen Gelenkpfanne ist das Labrum ist befestigt. Diese meniskusartige Struktur, erhöht den Rand der flachen Schultergelenkspfanne und sorgt für mehr Stabilisation für den kugelrunden Oberarmkopf. Am Oberrand der Gelenkpfanne strahlt die lange Bizepssehne in das Labrum ein. Zusammen mit dem Labrum setzt die Kapsel des Schultergelenkes umlaufend an Rändern der Pfanne an und spannt sich zum Humeruskopf aus.

Ein Einriss oder Abriss des Kapsel-Labrumkomplexes führt zur Störung des Gelenkes. Die geschädigte Gelenkkapsel führt nicht mehr den Oberarmkopf. Das Gelenk ist in Richtung der geschädigten Gelenkkapsel instabil. Die beiden häufigsten Verletzungen des Labrums sind die SLAP Läsion (superior labrum from anterior to posterior) und die Bankardläsion.

SLAP Läsionen sind Risse am oberen Labrum in der Region der Bizepssehnenverankerung.

Bankart Läsionen sind Kapselabrisse, die typischerweise bei Schulterluxationen entstehen. Sie finden sich meist am vorderen unteren Pfannenrand. Je nach Richtung der Verrenkung der Schulter können Verletzungen des Kapsel-Labrumkomplexes sowohl vorn, als auch hinten auftreten (hintere Instabilität).

Beide Typen der Kapsellabrumverletzungen sind normalerweise mit Schmerzen und Schwierigkeiten verbunden bestimmte Bewegungen mit Belastung der veränderten Kapselstuktur auszuführen. Speziell bei Bankardverletzungen geben Patienten an, dass ihnen die Schulter bei der Außendrehung nicht stabil erscheint oder sogar auskugelt.

Je älter wir werden desto mehr Alterungsprozesse schädigen die Sehnen der Rotatorenmanschetten. Die Reißfestigkeit nimmt dadurch in zunehmendem Alter ab. So kommt es, dass bei älteren Patienten die Schultergelenksluxation neben den Kapselschäden auch zu Rotatorenmanschettenabrissen führen. Trotz des Einrenken des Gelenkes kann dann der Arm in der Schulter nur eingeschränkt angehoben werden. Erst die operative Rekonstruktion der Sehnen kann die ursprüngliche Funktion wiederherstellen.

Die Diagnosestellung basiert auf der Krankengschichte (unfallbedingte Verrenkung, einmal oder mehrfaches Auskugeln ...), der Untersuchung der betroffenen Schulter sowie der bildgebenden Diagnostik. Hierbei sind sowohl konventionelle Röntgenbilder, als auch Schnittbildverfahren (MRT – Kapselschaden, CT – knöcherne Verletzung, Defekte) hilfreich. In komplexen Fällen müssen diese durch intraartikuläre Kontrastmitteluntersuchungen ergänzt werden.

Die Behandlung der Instabilität – konservativ, operativ – entscheiden wir individuell mit Ihnen anhand der Untersuchung und der bildgebenden Diagnostik. Dabei spielen das Ausmaß der Verletzung (Begleitverletzung, knöcherne Komponenten), das Alter des Patienten (je jünger der Patient, desto höher das bleibende Instabilitätsrisiko), das Aktivitätsniveau (Kontaktsport, Überkopfsport), angeborene Bindegewebsschwäche und die Anzahl der bereits stattgehabten Verrenkungen eine Rolle bei der Entscheidungsfindung.

Neben der konservativen Behandlung bieten wir operativ sowohl arthroskopische als auch offene Stabilisationsoperationen an. Das Spektrum der operativen Behandlung reicht von reinen Kapselstabilisationsoperationen (Bankartrepair) über akute knöcherne Kapsellabrumabrisse bis hin zu veralteten komplexeren Instabilitätsoperationen mit Defektaufbau an der Schultergelenkspfanne bei fehlendem Knochen.

Durch die operative Behandlung wird dafür gesorgt, dass die verletzte Kapselstruktur an dem anatomischen Ort fixiert wird und so wieder anatomisch heilen kann. Die biologische Heilung muss im Rahmen der Nachbehandlung zuerst geschützt werden. Die Nachbehandlung der konservativen und operativen Kapsellabrumverletzungen unterscheidet sich daher prinzipell nicht wesentlich. Das Nachbehandlungsprogramm limitiert dementsprechend in den ersten 6 Wochen nach Operation das Bewegungsausmaß und die Aktivität. Ein Orthesenkissen begleitet regelmäßig diese Phase der Nachbehandlung. Somit sind insbesondere anfänglich auch die regelmäßigen, alltäglichen Verrichtungen und die Haushaltsführung eingeschränkt. Entsprechende Vorkehrungen sollten getroffen werden.

Die Nachbehandlung dauert in den meisten Fällen c.a. 3-6 Monate. Eine Arbeitsfähigkeit ist in Abhängigkeit von der Armbelastung (Überkopfarbeit, Tragen schwerer Lasten) zwischen 6 Wochen (z.B. Bürotätigkeit) und 4-6 Monaten (z.B. Gerüstbau) anzunehmen.

Bild Patient Schulterluxation nach der OP

"Ich wollte doch nur die Mülltonne zur Straße bringen und dabei bin ich so unglücklich hingefallen. Die Schulter ist ausgekugelt und ich bin auf das Gesicht und meine Hand gefallen. Das Gelenk wurde dann wieder eingerichtet und nach Kernspintomogram war dann klar, dass die Sehnen abgerissen waren. Ich bin dann an der Rosenhöhe operiert worden.  Jetzt ein halbes Jahr nach der Behandlung kann ich das Schultergelenk wieder gut gebrauchen."

Die Versorgung:
69-jähriger Patient mit linkseitiger Schulterluxationsverletzung. Bei älteren Patienten kommt es im Rahmen der Schulterverrenkungen häufiger zu Sehnenabrissen am Oberarmkopf. Trotz der Einrichtung des Gelenkes kann der Arm nicht wieder gut bewegt werden. Erst die operative, in diesem Falle rein arthroskopische Rekonstruktion der Sehnen und deren Einheilen ist eine Schultergelenksbewegung wieder gut möglich.

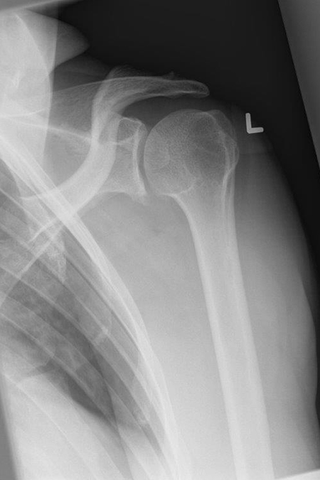
Bild Patientin Schulterinstabilität verschränkt die Arme hinter dem Kopf

„Ich habe vor ungefähr 8 Jahren meine erste Schulterluxation auf der rechten Seite. Seitdem habe ich ungefähr 8 bis 9 Mal meine Schulter ausgekugelt. Teilweise sogar im Schlaf. Am Klinikum Bielefeld -  Rosenhöhe wurde ich jetzt operiert, hierzu wurde ein Stück Knochen von meinem Beckenkamm benutzt. Der Beckenkamm schmerzt nicht, da ist alles OK. Jetzt kann ich die Schulter wieder völlig frei bewegen und das fühlt sich richtig stabil an. Ich froh, dass das so gut geklappt hat.“

Die Versorgung:
34 Jährige Patientin mit chronischer rechter Schulterinstabilität nach vorne unten. Bei der Analyse des Gelenkes fand sich in der 3D Schichtbilduntersuchung ein knöcherner Defekt (12% des Durchmessers) am vorderen unteren Pfannenrand. Operatives Vorgehen mit Spanaufbau des Defektes vom gleichseitigen Beckenkamm und Kapselstabilisation. Der Span wurde mit bioresorbierbaren Schrauben fixiert. Nach 3 Monaten bereits sehr gutes stabiles Bewegungsbild bei eingeheiltem Span. Noch Kraftaufbau erforderlich.

VORDERE CHRONISCHE SCHULTERINSTABILITÄT – KNÖCHERNER DEFEKT

Knöcherner Defekt am unteren Pfannenrand

Knöcherner Defekt durch Span ausgeglichen

Bild postoperativ Schulterinstabilität Dorsal Knöchern Ergebnis

Die Verletzung:
„Ich bin mit dem Fahrrad gestürzt – ich hatte anhaltend Schmerzen und konnte mich auf meine Schulter nicht richtig verlassen. Da rutschte etwas immer weg.
Dr. Schildknecht hat mir dann erklärt, dass an meiner Schultergelenkspfanne etwas abgebrochen ist und dadurch das Gelenk nicht mehr stabil ist. Ich bin dann mit der Schlüssellochtechnik operiert worden. Das ist richtig gut geworden.“

Die Versorgung:
Junger Patient mit dorsaler Instabilität nach vorangegangenem Trauma und dorsalem knöchernem Pfannenrandabbruch. Intraoperativ bereits völlig fest verheiltes Knochenfragment. Stabilisation mit Reschspan über arthroskopisch gestützte Technik mit funktionell unauffälligem schmerzfreiem klinischen Ergebnis .

DORSALE SCHULTERINSTABILITÄT KNÖCHERN

Postoperatives Bild nach 6 Monaten: Span dorsal eingeheilt

Bild von 65 jähriger Patientin streckt die Hände nach oben

Die Verletzung:
„Im Oktober 2022 wurde ich an der Rosenhöhe  an meiner linken Schulter operiert. Ich hatte eine total instabile Schulter. Die ist immer wieder rausgesprungen. Auf der rechten Seite hatte ich bereits eine Schulterinstabilität, die wurde vor Jahren mehrmals zuletzt mit einer Verdrehung des Oberarmes operativ behandelt. Jetzt ist das richtig gut geworden. Die Schulter ist auf Anhieb stabil und ich kann den Arm wieder gut einsetzten.“

Die Versorgung:
65-jährige Patientin mit Schulterluxationsverletzung und intraoperativ sehr kleinteiliger Bruch des vorderen Pfannenrandes. Auf der Gegenseite erfolgten vor ein paar Jahren mehrere operative Eingriffe initial mit bleibender Instabilität und letztendlich einer Drehosteotomie am Oberarm zur Stabilisation des Gelenkes. Die Patientin wünschte jetzt eine Stabilisationsbehandlung mit bestmöglicher Sicherheit. Wir führten eine Versetzung des knöchernen Rabenschnabelfortsatzes an den unteren Pfannenrand durch (Latarjet-Operation). Durch den Schlingeneffekt der mitversetzten Sehne des kurzen Bizepskopfes kommt es zu einem doppelten Stabilisationseffekt. Der Patientin konnte eine sehr stabile Gelenksituation geschaffen werden bei guter Funktion.

SCHULTERINSTABILITÄT MIT PFANNENFRAKTUR – LATARJET-STABILISATION

Bild Latarjet Stabilisation
Bild Patientin streckt ihre Arme nach oben

Die Verletzung:
„Vor ca. zwei Jahren habe ich mir die rechte Schulter ausgekugelt und seitdem konnte ich mich nicht mehr auf die Schulter verlassen. Ich konnte nicht richtig meinen Sport – Basketball betreiben. Schon wenn ich auf der Schulter gelegen hatte ich den Eindruck die Schulter würde sich verschieben. Nach der Operation und der Nachbehandlung freue ich mich jetzt, dass ich den Arm wieder stabil bewegen kann. Ich habe nur noch, wenn ich den Arm ganz weit nach oben bewege, ein etwas unsicheres Gefühl.“

Die Versorgung:
24 jährige Studentin, Linkshänderin mit bipolarer Instabilität des rechten Schultergelenkes. Sowohl auf der Schultergelenkspfannenseite als auch durch den Defekt auf der Rückseite des Oberarmkopfes (Hill-Sachsläsion) bestand eine Instabilität des Gelenkes. Nach Beratung wurde die Patientin mit einer Latarjet-Operation behandelt. Dabei wird der Rabenschnabelfortsatz mit der Bizepssehne abgetrennt und auf den vorderen Pfannenrand geschraubt. Dies führte zu einem sehr schönen stabilen Schultergelenksfunktion für die Patientin.

CHRONISCHE BIPOLARE SCHULTERINSTABILITÄT – LATARJET-STABILISATION

Copyright 2026. All Rights Reserved.
You are using an outdated browser. The website may not be displayed correctly. Close