Support

Lorem ipsum dolor sit amet:

24h / 365days

We offer support for our customers

Mon - Fri 8:00am - 5:00pm (GMT +1)

Get in touch

Cybersteel Inc.
376-293 City Road, Suite 600
San Francisco, CA 94102

Have any questions?
+44 1234 567 890

Drop us a line
info@yourdomain.com

About us

Lorem ipsum dolor sit amet, consectetuer adipiscing elit.

Aenean commodo ligula eget dolor. Aenean massa. Cum sociis natoque penatibus et magnis dis parturient montes, nascetur ridiculus mus. Donec quam felis, ultricies nec.

HÜFTREIFUNGSSTÖRUNGEN/ ULTRASCHALL-SCREENING

Ist die Hüftreifung verzögert, spricht man von einer Hüftdysplasie. Damit ist gemeint, dass die Gelenkpfanne den Hüftkopf nicht weit genug überdacht. Die Stabilität des Hüftgelenkes wird hierdurch beeinträchtigt. Etwa 1% der Kinder in unserer Region hat eine behandlungsbedürftige verzögerte Hüftreifung. Mit Hilfe des Ultraschalls (Sonographie) kann beim Säugling gut untersucht werden, wie sich das Hüftgelenk bisher entwickelt hat.

Je früher die Hüftdysplasie erkannt wird, desto besser lassen sich die Wachstumskräfte für die Behandlung nutzen. Die Entwicklung der Gelenkpfanne kann z.B. durch das Tragen einer Spreizhose unterstützt werden. Daher sollte jedes Kind in den ersten Lebenswochen mittels der Sonographie auf eine Hüftdysplasie hin untersucht werden.

ULTRASCHALL-SCREENING

Bild Ultraschalluntersuchung einer Säuglingshüfte

Ultraschalluntersuchung der Säuglingshüfte (Bild: Orthopädie)

Fußfehlstellungen (Klumpfuß, Sichelfuß, Plattfuß)
Nicht jede Fehlstellung des Fußes muss sofort behandelt werden. Viele Fehlstellungen sind nur haltungsbedingt (z.B. Sichelfußhaltung) und bilden sich beim Säugling spontan zurück.
Die Therapie von echten Fußfehlstellungen erfolgt zunächst konservativ mit Hilfe der Physiotherapie, korrigierenden Verbänden oder mit Gipsen. Bei verbleibenden Fehlstellungen kann eine Operation (z.B. Achillessehnenverlängerung beim Klumpfuß) erforderlich werden.

Bein-Achsfehlstellungen beim Kind und Jugendlichen
Die Beinachse des Kindes durchläuft verschiedene Stadien. Jeder Säugling hat O-Beine, die mit dem Wachstum zunehmend gerade werden. Im Alter von ca. 2 Jahren ist die Beinachse ausgeglichen, gerät dann aber natürlicherweise in eine X-Stellung, die ihre größte Ausprägung um das 4.Lebensjahr hat. Bis zum 7. Lebensjahr wird die Beinachse dann wieder gerade. Manchmal treten mit dem weiteren Wachstum wieder O- oder X-Beine auf. Häufig nimmt eine Fehlstellung in der Pubertät, wenn das Wachstum noch einmal beschleunigt wird, zu. Das Wachstum findet in schmalen Zonen des Knochens, den sogenannten Wachstumsfugen, statt. Wächst diese Fuge nicht gleichmäßig, kann ein O- oder ein X-Bein entstehen. Sehr ausgeprägte Fehlstellungen können einen frühzeitigen Gelenkverschleiß begünstigen.
Es besteht die Möglichkeit, das Wachstum mit einer Operation zu lenken.
Hierzu überbrückt ein Implantat die Wachstumsfuge auf der Seite, wo sie zu schnell gewachsen ist. Hat sich mit dem weiteren Wachstum der nicht blockierten Seite die Beinachse begradigt, wird das Implantat wieder entfernt.

BEINACHSKORREKTUR DURCH GELENKTES WACHSTUM

Die Röntgenbilder zeigen die Korrektur der X-Beine durch Klammerung der Wachstumsfugen nach 10 Monaten

Die Röntgenbilder zeigen die Korrektur der X-Beine (linkes Bild) durch Klammerung der Wachstumsfugen (mittleres Bild) nach 10 Monaten. Klinisches Ergebnis (rechtes Bild). (Bilder: Orthopädie)

In der Pubertät finden natürliche Veränderungen in der Wachstumsfuge zwischen dem Hüftkopf und dem  Schenkelhals statt. In einigen Fällen kann die Fuge aber so gelockert sein, dass der Hüftkopf abrutscht. Diese Wachstumsfugenlösung nennt man Epiphyseolysis capitis femoris (ECF). Sie kann schleichend stattfinden oder sich akut ereignen. Die Kinder geben dann Schmerzen in der Hüfte oder dem Knie an und wollen nicht mehr laufen. Das Abrutschen kann auch die Durchblutung des Hüftkopfes gefährden. Die Behandlung soll daher das weitere Abrutschen des Hüftkopfes verhindern und eine Fehlstellung ggf. wieder korrigieren. Hierzu wird der Hüftkopf mit einer Schraube oder Drähten gesichert. Eine geringe Fehlstellung des Hüftkopfes kann toleriert werden. Ist der Hüftkopf aber sehr stark verschoben, muss er wieder eingerichtet werden. Manchmal ist auch eine spätere Korrektur der Fehlstellung sinnvoll. Regelmäßige Kontrollen sind bei jedem Patienten auch nach der Operation bis zum Wachstumsabschluss erforderlich. Bei starkem Wachstum müssen Schrauben oder Drähte ggf. auch einmal gewechselt werden. Nach Wachstumsabschluss ist die Fuge verknöchert und das eingebrachte Material kann wieder entfernt werden.

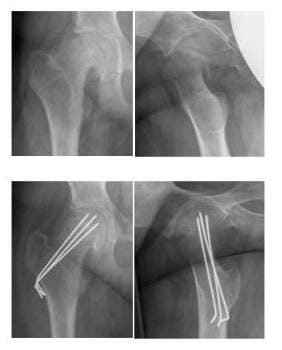
EPIPHYSEOLYSIS CAPITIS FEMORIS

Die Bilder zeigen den abgerutschten Hüftkopf aus 2 Perspektiven und zeigen das Ergebnis nach Einrichtung und Sicherung mit Drähten

Die oberen Bilder zeigen den abgerutschten Hüftkopf aus 2 Perspektiven, die unteren Bilder zeigen das Ergebnis nach Einrichtung und Sicherung mit Drähten. (Bilder: Orthopädie)

Diese Erkrankung des Hüftkopfes entsteht wahrscheinlich auf dem Boden einer Durchblutungsstörung und tritt meist zwischen dem 4. und 8. Lebensjahr auf. Sie führt zu einem teilweisen Absterben des Knochens, wodurch sich der Hüftkopf verformt. Dies kann die Formschlüssigkeit des Gelenkes so beeinträchtigen, dass der Hüftkopf nicht mehr richtig in der Gelenkpfanne steht. Während des Wachstums kann sich der Hüftkopf regenerieren. Damit dieser Vorgang aber wieder zu einem in die Gelenkpfanne passenden Hüftkopf führt, muss der Hüftkopf in der Gelenkpfanne gehalten werden. Die Therapie richtet sich daher auf die Erhaltung der Gelenkkongruenz (Formschlüssigkeit), so dass der Hüftkopf immer ausreichend von der Hüftpfanne überdacht ist. Zu diesem Zweck ist manchmal eine Operation am Hüftknochen und/oder der Hüftpfanne erforderlich. Die Regeneration des Hüftkopfes dauert mehrere Jahre.

Neben einer Veranlagung scheinen auch mechanische Faktoren eine wesentliche Rolle bei der Entstehung dieser Erkrankung zu spielen, da besonders körperlich sehr aktive Jugendliche betroffen sind. Es kommt zu einem herdförmigen Absterben des gelenknahen Knochens. Dieser kann sich mit dem darüberliegenden Knorpel ablösen und in das Gelenk fallen. Man spricht in diesem Fall von einer „Gelenkmaus“, die einklemmen und zu Blockierungen des Gelenkes führen kann. Aber auch vor der Ablösung können schon Beschwerden auftreten. Häufig ist das Knie betroffen, hier klagen die Kinder über Schmerzen bei Belastung. Auch am Ellenbogen und am Sprunggelenk kommt die Erkrankung vor. Nicht immer muss die Erkrankung mit einer Ablösung des Knochens enden. Manchmal kommt es wieder zu einem spontanen Anwachsen.

Anhand von Röntgen- und MRT-Bildern lässt sich das Stadium der Erkrankung einschätzen, so dass eine Prognose gegeben werden kann. Die Therapie ist von verschiedenen Faktoren abhängig. Sie richtet sich nach dem Stadium der Erkrankung und der Lokalisation der Schädigung. In fortgeschrittenen Stadien kann z.B. eine Operation notwendig sein. Hierbei wird das betroffene Gelenk gespiegelt (Arthroskopie). Ist der Knochen nicht abgelöst, kann die Durchblutung und damit die Einheilung durch eine Knochenbohrung angeregt werden. Ist es bereits zu einer Ablösung gekommen, wird versucht, die Gelenkfläche durch Einpassen des Fragmentes wiederherzustellen. Ist dies nicht mehr möglich, muss gegebenenfalls der Defekt mit einem Ersatzverfahren aufgefüllt werden.

TUMOREN DES KINDLICHEN SKELETTS:

siehe Tumororthopädie

Copyright 2026. All Rights Reserved.
You are using an outdated browser. The website may not be displayed correctly. Close